手机应用
微信
微博
QQ群
普通登陆
QQ登录
找回密码
注册
登录
好友
帖子
收藏
道具
勋章
任务
搜索
搜索
本版
文章
帖子
用户
影像医生
也能
网上问诊
了
首页
社区
BBS
新闻
读片会
影像图库
锐滴达
医影在线
»
社区
›
影像读片
›
CT病例讨论
›
CT53187:请帮忙看看这个口腔全景CT 片(3.22新增了CT片) ...
CT53187:请帮忙看看这个口腔全景CT 片(3.22新增了CT片)
查看数:
1378
|
评论数:
3
|
收藏
0
关灯
|
提示:支持键盘翻页<-左 右->
帖子模式
组图打开中,请稍候......
收藏
0
赞同
0
反对
0
starsailor
发布时间:
2018-3-15 14:45
正文摘要:
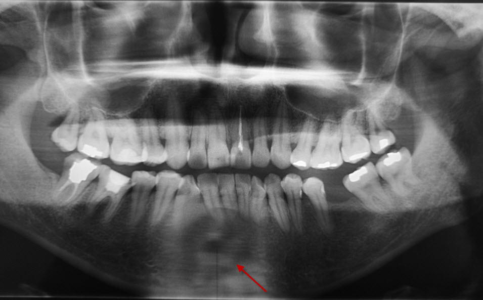
病人是一年前发现右下颌有肿块,但是当时拍口腔片没有发现问题,个人也没有感觉,于是随访,这次复查,请问各位老师。箭头处怎么诊断? 并且对比一年前的片子,发现牙齿有移位。 ...
回复
sunbin
发表于
2018-3-20 15:27
下颌骨切牙根尖处可见团块状低密度占位,内见稍高密度影。考虑:下颌骨根尖囊肿并感染可能。建议CT检查。
支持
收藏
0
shibing
发表于
2018-3-16 12:11
建议行CT检查。
支持
收藏
0
天路人
发表于
2018-3-16 08:18
根尖脓肿?建议行CT检查。
支持
收藏
0
快速回复
返回顶部
返回列表