手机应用
微信
微博
QQ群
普通登陆
QQ登录
找回密码
注册
登录
好友
帖子
收藏
道具
勋章
任务
搜索
搜索
本版
文章
帖子
用户
影像医生
也能
网上问诊
了
首页
社区
BBS
新闻
读片会
影像图库
锐滴达
医影在线
»
社区
›
影像读片
›
CT病例讨论
›
CT53226:感冒咳嗽半月
CT53226:感冒咳嗽半月
查看数:
1439
|
评论数:
5
|
收藏
0
关灯
|
提示:支持键盘翻页<-左 右->
帖子模式
组图打开中,请稍候......
收藏
0
赞同
0
反对
0
asyzhky
发布时间:
2018-4-15 20:25
正文摘要:
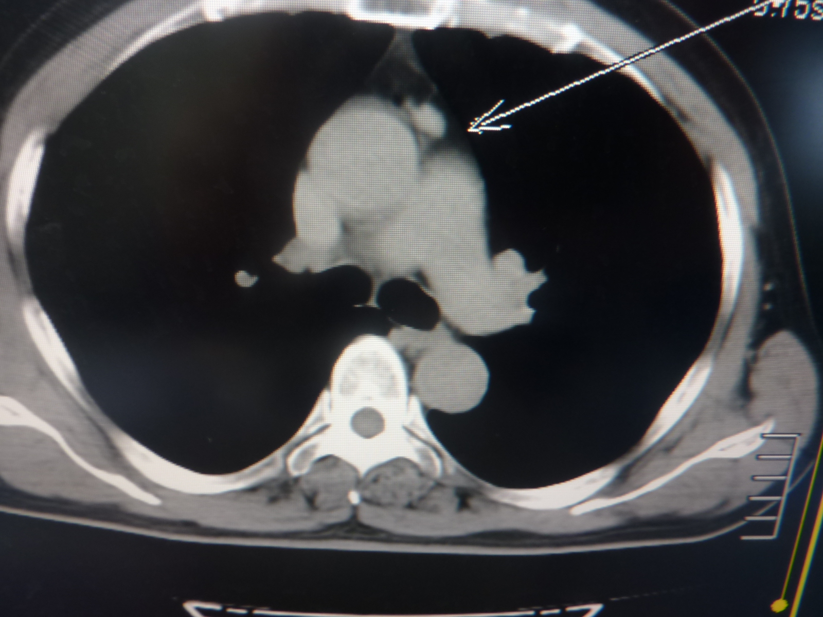
前纵隔结节灶是胸腺瘤?右肺中叶慢性炎症
回复
jzpgy
发表于
2018-11-27 17:09
前纵隔结节影,考虑未退化胸腺,建议结合临床。
支持
收藏
0
mnbvcxz1234
发表于
2018-11-26 20:59
右肺中叶内侧段斑片结节状密度增高影,提示炎症可能。心前区升主动脉邻近结节。考虑:血管影可能。建议增强。
支持
收藏
0
sunbin
发表于
2018-4-26 10:21
右肺中叶内侧段斑片结节状密度增高影,提示炎症可能。心前区升主动脉邻近结节。考虑:血管影可能。建议增强。
支持
收藏
0
shibing
发表于
2018-4-16 10:26
建议增强
天路人
发表于
2018-4-16 08:21
建议增强
快速回复
返回顶部
返回列表