手机应用
微信
微博
QQ群
普通登陆
QQ登录
找回密码
注册
登录
好友
帖子
收藏
道具
勋章
任务
搜索
搜索
本版
文章
帖子
用户
影像医生
也能
网上问诊
了
首页
社区
BBS
新闻
读片会
影像图库
锐滴达
医影在线
»
社区
›
影像读片
›
MRI病例讨论
›
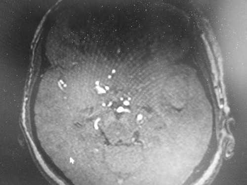
MRI7237:烟雾病
MRI7237:烟雾病
查看数:
1926
|
评论数:
5
|
收藏
0
关灯
|
提示:支持键盘翻页<-左 右->
帖子模式
组图打开中,请稍候......
收藏
0
赞同
0
反对
0
qinwei260
发布时间:
2018-7-10 10:11
正文摘要:
两例病人分别为脑梗塞和出血
回复
shijunhuaict
发表于
2018-11-21 21:54
莫呀莫牙病
支持
收藏
0
xiongneo
发表于
2018-9-2 22:07
moyamoya 和moyamoya综合症,怎么区别
支持
收藏
0
临窗赏雨
发表于
2018-8-17 17:35
右侧颈内动脉上端、右侧大脑中动脉闭塞,考虑烟雾病。
支持
收藏
0
zxczxc
发表于
2018-7-27 21:12
患者年龄,右侧颈内动脉闭塞。烟雾病?
支持
收藏
0
shibing
发表于
2018-7-19 11:46
血管造影
快速回复
返回顶部
返回列表