手机应用
微信
微博
QQ群
普通登陆
QQ登录
找回密码
注册
登录
好友
帖子
收藏
道具
勋章
任务
搜索
搜索
本版
文章
帖子
用户
影像医生
也能
网上问诊
了
首页
社区
BBS
新闻
读片会
影像图库
锐滴达
医影在线
»
社区
›
影像读片
›
CT病例讨论
›
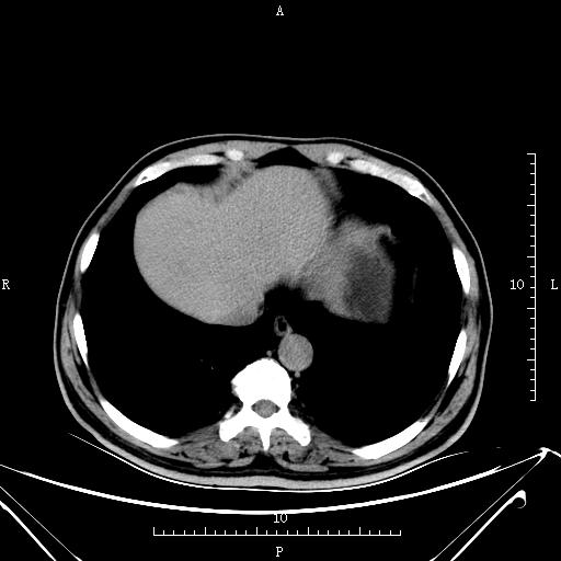
CT53350:男,68岁,上腹部疼痛1周,彩超示:胰腺占位。 ...
CT53350:男,68岁,上腹部疼痛1周,彩超示:胰腺占位。
查看数:
1449
|
评论数:
6
|
收藏
1
关灯
|
提示:支持键盘翻页<-左 右->
帖子模式
组图打开中,请稍候......
收藏
1
赞同
0
反对
0
ldm1993
发布时间:
2018-8-12 21:00
正文摘要:
男,68岁,上腹部疼痛1周,彩超示:胰腺占位。
回复
mnbvcxz1234
发表于
2018-11-27 20:51
胰腺外形欠规则,体部见低密度占位,中央区坏死,肿块轻度强化。考虑胰腺癌。
支持
收藏
1
shibing
发表于
2018-8-22 11:55
胰腺癌
qian
发表于
2018-8-14 10:19
胰腺近胰腺颈部局部隆突出弱强化的占位,胰尾部萎缩,胰腺癌应该是没问题。
支持
收藏
1
sunbin
发表于
2018-8-13 10:24
胰腺外形不规则,胰腺体部见低密度占位,体部中央区见坏死,增强:肿块及坏死部分未见明显强化。脾大。考虑:胰体癌。脾大。
支持
收藏
1
天路人
发表于
2018-8-13 08:24
支持2楼。
随光逐影
发表于
2018-8-13 07:42
胰体癌。
快速回复
返回顶部
返回列表