医影在线

搜索

PED5407:右胫、腓骨上段良性病变,请会诊!

查看数: 3037 | 评论数: 7 | 收藏 0
关灯 | 提示:支持键盘翻页<-左 右->
    组图打开中,请稍候......
发布时间: 2018-8-28 21:00

正文摘要:

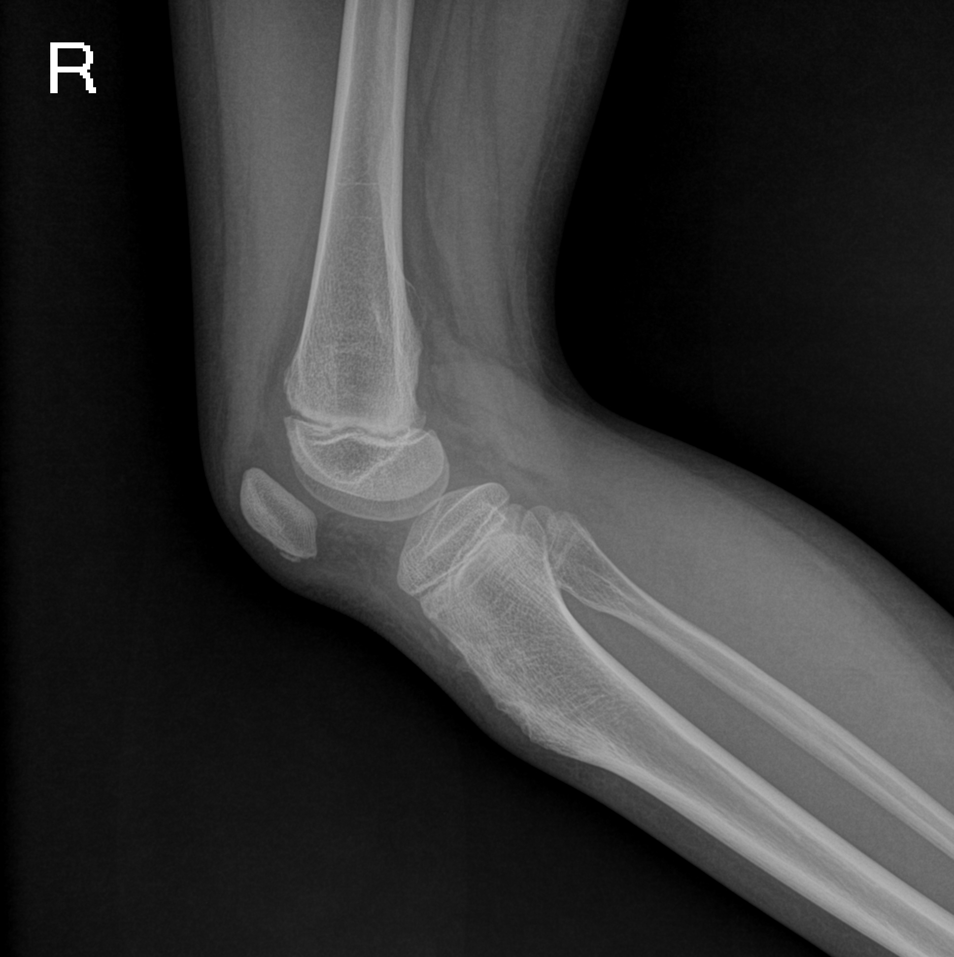
女,10岁,发现右胫骨近端肿痛数月,右小腿近端可见包块;DR示:右胫骨结节骨质增厚、毛糙,腓骨头稍膨大,MR示:未见明显骨质破坏,周围见少量积液,未见软组织肿块,胫骨结节骨软骨炎?腓骨干骺端良性病变? ...

回复

sunbin 发表于 2018-9-1 10:16
考虑:右股骨下段及胫骨上段骨软骨瘤病。右膝关节囊少许积液。
随光逐影 发表于 2018-8-30 08:20
左膝关节亦与右膝关节类似。
shibing 发表于 2018-8-29 12:15

1)右侧股骨下段及右侧胫腓骨上段多发性骨软骨瘤(即骨软骨瘤病)。2)右膝关节少量积液。
天路人 发表于 2018-8-29 08:21
支持楼上。
随光逐影 发表于 2018-8-29 08:02
——软骨帽T2WI呈高信号。
随光逐影 发表于 2018-8-29 07:47
1)右侧股骨下段及右侧胫腓骨上段多发性骨软骨瘤(即骨软骨瘤病)。2)右膝关节少量积液。
难听 发表于 2018-8-29 00:21
骨软骨瘤病。
快速回复 返回顶部 返回列表