手机应用
微信
微博
QQ群
普通登陆
QQ登录
找回密码
注册
登录
好友
帖子
收藏
道具
勋章
任务
搜索
搜索
本版
文章
帖子
用户
影像医生
也能
网上问诊
了
首页
社区
BBS
新闻
读片会
影像图库
锐滴达
医影在线
»
社区
›
影像读片
›
儿科病例
›
PED5413:新生儿一天
PED5413:新生儿一天
查看数:
1893
|
评论数:
7
|
收藏
0
关灯
|
提示:支持键盘翻页<-左 右->
帖子模式
组图打开中,请稍候......
收藏
0
赞同
0
反对
0
asyzhky
发布时间:
2018-10-18 10:34
正文摘要:
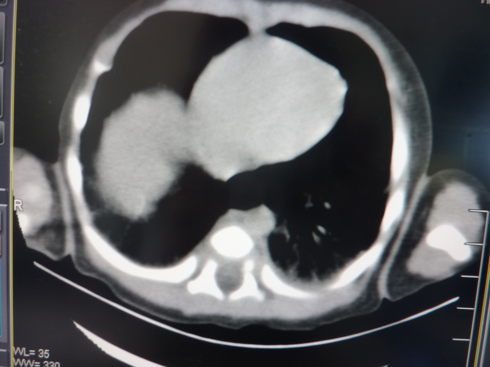
本帖最后由 cefcmj 于 2018-10-20 17:02 编辑 呼吸困难,请问是气胸?还是左侧先天肺大泡?
回复
shijunhuaict
发表于
2018-11-20 18:36
学习学习
孙寻序
发表于
2018-11-5 09:51
行,我还琢磨是囊肿还是气胸呢,往下一看,人家都搞定了,厉害
支持
收藏
0
sunbin
发表于
2018-10-19 13:52
两肺大部分呈磨玻璃密度,部分可见充气支气管至肺段水平,部分肺外围透光度增加,两上肺见大小不等囊状影,左上肺较大,左侧胸腔少量积液。考虑:重度肺透明膜病并发左侧气胸?肺囊腺瘤?
支持
收藏
0
天路人
发表于
2018-10-19 13:41
支持肺透明膜病。
支持
收藏
0
shibing
发表于
2018-10-18 18:11
肺透明膜病3期。左肺囊性腺瘤样畸形。
支持
收藏
0
1982
发表于
2018-10-18 13:04
支持二楼。
wugenxing
发表于
2018-10-18 11:45
肺透明膜病3期。左肺囊性腺瘤样畸形。
支持
收藏
0
快速回复
返回顶部
返回列表