手机应用
微信
微博
QQ群
普通登陆
QQ登录
找回密码
注册
登录
好友
帖子
收藏
道具
勋章
任务
搜索
搜索
本版
文章
帖子
用户
影像医生
也能
网上问诊
了
首页
社区
BBS
新闻
读片会
影像图库
锐滴达
医影在线
»
社区
›
影像读片
›
儿科病例
›
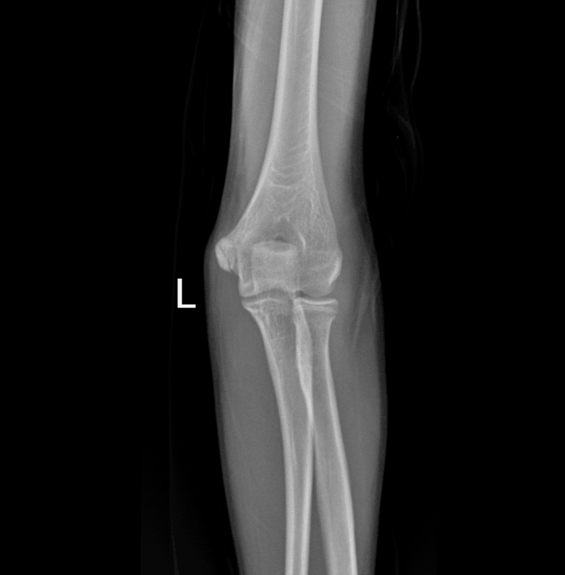
男,14岁,左肘关节外伤,大家看看。
男,14岁,左肘关节外伤,大家看看。
查看数:
1857
|
评论数:
9
|
收藏
0
关灯
|
提示:支持键盘翻页<-左 右->
帖子模式
组图打开中,请稍候......
收藏
0
赞同
0
反对
0
重庆格林
发布时间:
2019-1-12 14:53
正文摘要:
回复
1982
发表于
2019-3-8 23:07
正常
小神
发表于
2019-1-17 15:16
正常骨骺
shibing
发表于
2019-1-15 13:59
未见明显异常
支持
收藏
0
mnbvcxz1234
发表于
2019-1-14 20:03
左侧肘关节未见明显骨折征像,八字征阴性。
支持
收藏
0
随光逐影
发表于
2019-1-14 08:25
箭头所指为尺骨鹰嘴骨骺——鹰嘴骨与尺骨干的接合,男性在15~19岁、女性在13~14岁完成。
支持
收藏
0
重庆格林
发表于
2019-1-13 10:25
箭头所指考虑血管沟?
支持
收藏
0
sunbin
发表于
2019-1-13 10:07
左肘关节侧位像:尺骨近端髓腔内似见低密度影。建议结合临床,必要时CT检查。
支持
收藏
0
摘星空竹子
发表于
2019-1-12 19:58
未见明显异常
支持
收藏
0
快速回复
返回顶部
返回列表