手机应用
微信
微博
QQ群
普通登陆
QQ登录
找回密码
注册
登录
好友
帖子
收藏
道具
勋章
任务
搜索
搜索
本版
文章
帖子
用户
影像医生
也能
网上问诊
了
首页
社区
BBS
新闻
读片会
影像图库
锐滴达
医影在线
»
社区
›
影像读片
›
CT病例讨论
›
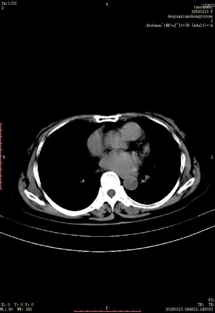
CT53510:B超显示肝S7区多发性稍高回声团。 ...
CT53510:B超显示肝S7区多发性稍高回声团。
查看数:
1311
|
评论数:
5
|
收藏
0
关灯
|
提示:支持键盘翻页<-左 右->
帖子模式
组图打开中,请稍候......
收藏
0
赞同
0
反对
0
DEQINGCHLF
发布时间:
2019-2-13 11:42
正文摘要:
请会诊
回复
jw_830
发表于
2019-3-2 20:27
支持楼上!
wugenxing
发表于
2019-2-18 05:41
病变位于6-7段,有两个重要表现。1,血管扩张2,肝脏非均匀性强化,肝内血管有三套,首先动脉期未见强化扩张血管,也未见门静脉提前显影,肝动脉扩张及肝动脉~门静脉短路可以排除。剩下只有肝静脉扩张了,特别是平衡期可以见到扩张更明显更扭曲,与右肝静脉走行,关系都很密切。所以考虑右肝静脉分支狭窄及扩张。布~加综合征。16排以上CT血管重建可以明确,楼主这机器好像是双排左右
的。
支持
收藏
0
mnbvcxz1234
发表于
2019-2-15 18:12
肝内血管稍扩张,肝右叶后段可见条结状低密度影,动脉期:结节显示清楚,病灶呈条片状强化,门脉期及延迟期。造影剂逐渐充填。其强化程度接近肝血管密度。胆囊内及右肾上极见斑点状高密度。右侧胸膜轻度增厚?考虑:肝右叶血管性病变----肝血管瘤?胆囊结石。右肾结石。
支持
收藏
0
sunbin
发表于
2019-2-14 10:25
肝内血管稍扩张,肝右叶后段可见条结状低密度影,动脉期:结节显示清楚,病灶呈条片状强化,门脉期及延迟期。造影剂逐渐充填。其强化程度接近肝血管密度。胆囊内及右肾上极见斑点状高密度。右侧胸膜轻度增厚?考虑:肝右叶血管性病变----肝血管瘤?胆囊结石。右肾结石。
支持
收藏
0
shibing
发表于
2019-2-14 09:41
MRI
快速回复
返回顶部
返回列表