手机应用
微信
微博
QQ群
普通登陆
QQ登录
找回密码
注册
登录
好友
帖子
收藏
道具
勋章
任务
搜索
搜索
本版
文章
帖子
用户
影像医生
也能
网上问诊
了
首页
社区
BBS
新闻
读片会
影像图库
锐滴达
医影在线
»
社区
›
影像读片
›
CT病例讨论
›
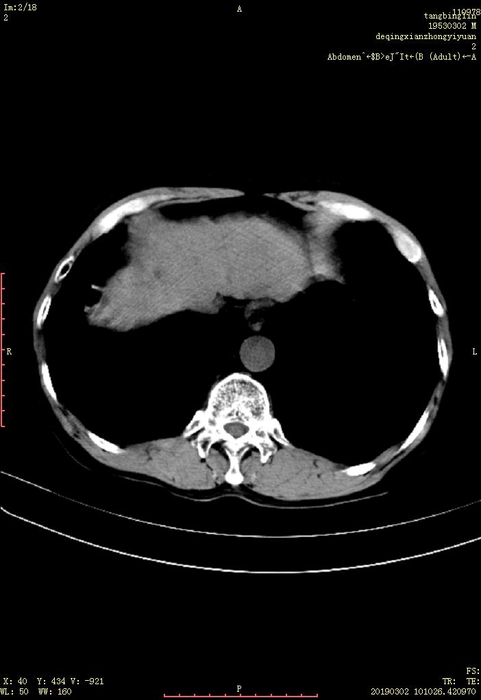
CT53514:男.66YB超提示肝脏多发性占位
CT53514:男.66YB超提示肝脏多发性占位
查看数:
1153
|
评论数:
5
|
收藏
0
关灯
|
提示:支持键盘翻页<-左 右->
帖子模式
组图打开中,请稍候......
收藏
0
赞同
0
反对
0
DEQINGCHLF
发布时间:
2019-3-2 16:32
正文摘要:
男.66YB超提示肝脏多发性占位,外院5年前曾怀疑肝CA,延迟...请各位专家会诊一下。谢谢
回复
天路人
发表于
2019-3-4 09:28
支持楼上。
shibing
发表于
2019-3-3 16:31
“快进快出”符合肝癌强化方式。
支持
收藏
0
摘星空竹子
发表于
2019-3-2 23:55
“快进快出”符合肝癌强化方式。
支持
收藏
0
jw_830
发表于
2019-3-2 19:44
肝右叶可见多各类圆型低密度影,边缘欠清晰,增强扫描明显强化,延迟呈低密度,考虑肝癌可能,转移瘤不除外
支持
收藏
0
sunbin
发表于
2019-3-2 17:11
肝右叶可见多个稍低密度占位,边缘欠光整,部分病灶位于近肝包膜下。增强基本符合快进快出特点。考虑:肝内多发性占位---肝癌可能性大。
支持
收藏
0
快速回复
返回顶部
返回列表