手机应用
微信
微博
QQ群
普通登陆
QQ登录
找回密码
注册
登录
好友
帖子
收藏
道具
勋章
任务
搜索
搜索
本版
文章
帖子
用户
影像医生
也能
网上问诊
了
首页
社区
BBS
新闻
读片会
影像图库
锐滴达
医影在线
»
社区
›
影像读片
›
儿科病例
›
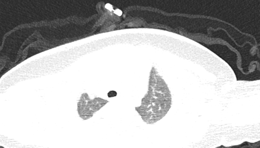
PED5449:一月前打过卡介苗,3个月,男 左腋窝肿物。 ...
PED5449:一月前打过卡介苗,3个月,男 左腋窝肿物。
查看数:
1697
|
评论数:
6
|
收藏
0
关灯
|
提示:支持键盘翻页<-左 右->
帖子模式
组图打开中,请稍候......
收藏
0
赞同
0
反对
0
1982
发布时间:
2019-4-7 23:09
正文摘要:
一月前打过卡介苗,3个月,男 左腋窝肿物。是淋巴结Tb并坏死?????还是脓肿并淋巴结肿大?????
回复
老爱克斯新网客
发表于
2019-4-9 10:59
左侧腋窝淋巴结增大,周围脂肪组织模糊,考虑感染性病变可能大,请结合临床。
支持
收藏
0
wugenxing
发表于
2019-4-9 08:24
左腋窝多发淋巴结增大,见坏死,周围脂肪内有渗出,考虑感染性病变。纵隔内未见明确异常。
支持
收藏
0
sunbin
发表于
2019-4-8 15:55
左侧腋下可见结节,边缘欠光整,中央密度低,考虑:左侧腋窝淋巴结肿大。必要时建议增强或MRI检查。排除纵隔占位。
支持
收藏
0
天路人
发表于
2019-4-8 09:30
冰冻纵膈- 肺内见不规则斑片状 索条状混杂阴影。肺门不大。余无特记。左侧腋窝见多个肿大淋巴结。余无特记。考虑:纵膈淋巴瘤伴左侧腋窝淋巴结。
支持
收藏
0
shibing
发表于
2019-4-8 08:28
淋巴结问题
支持
收藏
0
1982
发表于
2019-4-7 23:28
肿物40hu。低密度15HU
支持
收藏
0
快速回复
返回顶部
返回列表