手机应用
微信
微博
QQ群
普通登陆
QQ登录
找回密码
注册
登录
好友
帖子
收藏
道具
勋章
任务
搜索
搜索
本版
文章
帖子
用户
影像医生
也能
网上问诊
了
首页
社区
BBS
新闻
读片会
影像图库
锐滴达
医影在线
»
社区
›
影像读片
›
CT病例讨论
›
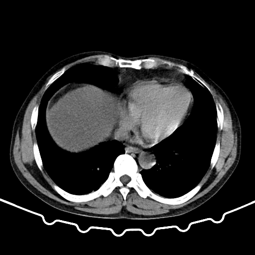
CT53610:女 50 腹痛 胰腺炎的那型,
CT53610:女 50 腹痛 胰腺炎的那型,
查看数:
1171
|
评论数:
6
|
收藏
1
关灯
|
提示:支持键盘翻页<-左 右->
帖子模式
组图打开中,请稍候......
收藏
1
赞同
0
反对
0
1982
发布时间:
2019-5-5 23:32
正文摘要:
女 50 腹痛 胰腺炎的那型, 平扫怎么区分水肿型与坏死型
回复
shibing
发表于
2019-5-7 14:27
单纯性水肿型胰腺炎主要表现为:胰腺体积增大或正常,实质密度多均匀正常,边缘模糊周边可见少量渗出,肾前或肾周筋膜增厚,胰腺与周围结构分界清楚。
支持
收藏
1
摘星空竹子
发表于
2019-5-6 23:38
单纯性水肿型胰腺炎主要表现为:胰腺体积增大或正常,实质密度多均匀正常,边缘模糊周边可见少量渗出,肾前或肾周筋膜增厚,胰腺与周围结构分界清楚。
支持
收藏
1
摘星空竹子
发表于
2019-5-6 23:31
胰腺明显肿大,实质内可见斑片状低密度区,边缘模糊不清,周边广泛蜂窝织炎及渗出性液性密度影,十二指肠升段及水平段受侵,支持急性坏死性胰腺炎。
支持
收藏
1
syfszcw
发表于
2019-5-6 19:51
重度脂肪肝,出血坏死性胰腺炎
支持
收藏
1
sunbin
发表于
2019-5-6 15:12
胰腺轮廓不规则增大,与周围结构分界不清,内见斑片状高密度影及低密度混杂。部分见气泡影。胰周脂肪间隙模糊。双侧肾前筋膜增厚,右肾周及双肾前、后间隙、脾周、髂骨内侧面及腹部肠管积液。肝实质密度低,左肾囊肿。考虑:出血坏死性胰腺炎可能性大。
支持
收藏
1
天路人
发表于
2019-5-6 09:00
胰腺肿大,周围明显见渗出,小网膜脂肪层密度增高 不均匀。双侧肾前筋膜增厚,肾周脂肪模糊。诊断:急性胰腺炎—水肿型。
胰腺炎:1、轻者以胰腺水肿为主,临床多见,病情常呈自限性,预后良好,又称为轻症急性胰腺炎。
2、少数重者的胰腺出血坏死,常继发感染、腹膜炎和休克等,病死率高,称为重症急性胰腺炎。
支持
收藏
1
快速回复
返回顶部
返回列表