手机应用
微信
微博
QQ群
普通登陆
QQ登录
找回密码
注册
登录
好友
帖子
收藏
道具
勋章
任务
搜索
搜索
本版
文章
帖子
用户
影像医生
也能
网上问诊
了
首页
社区
BBS
新闻
读片会
影像图库
锐滴达
医影在线
»
社区
›
影像读片
›
CT病例讨论
›
CT00503 颅内占位(病理结果3天后公布)
CT00503 颅内占位(病理结果3天后公布)
查看数:
16712
|
评论数:
69
|
收藏
0
关灯
|
提示:支持键盘翻页<-左 右->
帖子模式
组图打开中,请稍候......
收藏
0
赞同
0
反对
0
挺爱我老婆
发布时间:
2004-8-6 04:33
正文摘要:
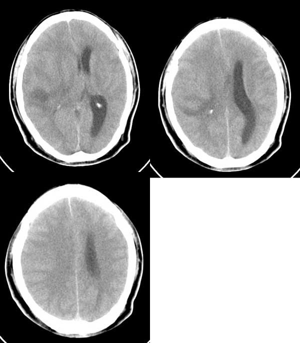
头疼3个月,加重5天
回复
shuiyuan
发表于
2010-1-17 19:23
右颞顶叶较大囊实性肿块,可见结节及花环样强化,瘤周水肿和明显的占位效应,多考虑胶质瘤.3-4级星形细胞瘤可能性最大.
支持
收藏
0
zlh
发表于
2010-1-17 08:05
胶质瘤
支持
收藏
0
qqwgd123
发表于
2010-1-17 04:42
支持星形细胞瘤
支持
收藏
0
zxczxc
发表于
2010-1-17 04:34
右侧顶叶占位性病变,右侧顶叶胶质瘤。
支持
收藏
0
吴医师
发表于
2010-1-16 23:17
谢谢学习了
支持
收藏
0
z13511933102z
发表于
2009-9-18 07:47
右颞顶叶囊实性肿块,占位效应明显,轮廓尚清,累及皮层,瘤周水肿不明显,病灶偏心性坏死或液化,形态不规则,增强后实性部分中等强化,坏死区未强化,瘤周及瘤内有粗大血管影。
考虑1、星形细胞瘤1-2级或毛细胞型星形细胞瘤(1级);2、转移瘤
支持
收藏
0
高学强
发表于
2009-9-18 07:23
支持
支持
收藏
0
春夜喜雨
发表于
2009-9-18 06:37
支持胶质瘤
支持
收藏
0
LZFAZSW
发表于
2009-9-18 03:33
星形细胞瘤!
支持
收藏
0
快速回复
返回顶部
返回列表