手机应用
微信
微博
QQ群
普通登陆
QQ登录
找回密码
注册
登录
好友
帖子
收藏
道具
勋章
任务
搜索
搜索
本版
文章
帖子
用户
影像医生
也能
网上问诊
了
首页
社区
BBS
新闻
读片会
影像图库
锐滴达
医影在线
»
社区
›
教育专区
›
典型病例
›
CL0070:[原创]胸腰椎转移瘤
CL0070:[原创]胸腰椎转移瘤
查看数:
4003
|
评论数:
18
|
收藏
0
关灯
|
提示:支持键盘翻页<-左 右->
帖子模式
组图打开中,请稍候......
收藏
0
赞同
0
反对
0
3288161
发布时间:
2004-9-3 08:16
正文摘要:
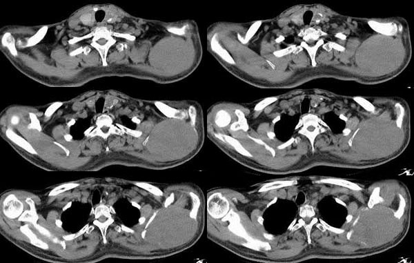
m,53y。
回复
zxczxc
发表于
2013-12-11 09:48
椎体骨质破坏,考虑转移瘤。
支持
收藏
0
shibing
发表于
2012-6-7 08:56
胸腰椎转移瘤
支持
收藏
0
吴医师
发表于
2010-1-12 05:24
谢谢!!!
支持
收藏
0
yuhongjun
发表于
2009-12-11 14:53
影像很典型啊!
支持
收藏
0
hexue
发表于
2009-6-17 06:42
学习了,谢谢!
支持
收藏
0
jinguoji
发表于
2006-10-19 22:13
谢谢!学习了!
支持
收藏
0
drzhang8888
发表于
2006-8-14 07:38
肺癌骨转移者半年生存率<50%。
支持
收藏
0
寻芳者
发表于
2006-2-23 05:49
影像很典型啊!谢谢
支持
收藏
0
针灸师
发表于
2006-2-20 05:44
请问那一处是首先被发现的?谢谢!
支持
收藏
0
快速回复
返回顶部
返回列表