手机应用
微信
微博
QQ群
普通登陆
QQ登录
找回密码
注册
登录
好友
帖子
收藏
道具
勋章
任务
搜索
搜索
本版
文章
帖子
用户
影像医生
也能
网上问诊
了
首页
社区
BBS
新闻
读片会
影像图库
锐滴达
医影在线
»
社区
›
影像读片
›
CT病例讨论
›
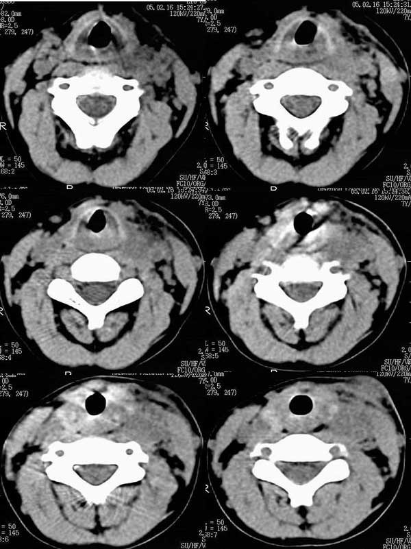
CT01020:[原创]左颈部肿块。
CT01020:[原创]左颈部肿块。
查看数:
6229
|
评论数:
21
|
收藏
0
关灯
|
提示:支持键盘翻页<-左 右->
帖子模式
组图打开中,请稍候......
收藏
0
赞同
0
反对
0
何畏
发布时间:
2005-2-17 23:16
正文摘要:
男孩7岁,左颈部肿块1个月,质软,有发烧病史。
回复
吴医师
发表于
2010-2-9 18:12
谢谢 学习了
支持
收藏
0
lyjccwjj
发表于
2009-3-22 08:11
回复:ct1020:[原创]左颈部肿块。
支持!
支持
收藏
0
peijunlong
发表于
2008-3-8 03:35
谢谢
支持
收藏
0
meng-msp001
发表于
2005-2-23 06:13
是结核的可能的确很大。
支持
收藏
0
zh-gq
发表于
2005-2-21 21:37
炎症
支持
收藏
0
小医生
发表于
2005-2-21 20:54
应先做增强扫描后,方可定性。个人意见/[em2]
支持
收藏
0
建华
发表于
2005-2-20 20:59
[emb6]
支持
收藏
0
静轲
发表于
2005-2-20 03:06
首考虑感染性病变,以结核可能性大.
支持
收藏
0
雷永彦
发表于
2005-2-19 22:49
支持感染性病变。
支持
收藏
0
快速回复
返回顶部
返回列表