手机应用
微信
微博
QQ群
普通登陆
QQ登录
找回密码
注册
登录
好友
帖子
收藏
道具
勋章
任务
搜索
搜索
本版
文章
帖子
用户
影像医生
也能
网上问诊
了
首页
社区
BBS
新闻
读片会
影像图库
锐滴达
医影在线
»
社区
›
影像读片
›
CT病例讨论
›
CT01029:[讨论]将在明天下午(2.24)出病理结果! ...
CT01029:[讨论]将在明天下午(2.24)出病理结果!
查看数:
7266
|
评论数:
32
|
收藏
0
关灯
|
提示:支持键盘翻页<-左 右->
帖子模式
组图打开中,请稍候......
收藏
0
赞同
0
反对
0
lanfenglin
发布时间:
2005-2-23 21:38
正文摘要:
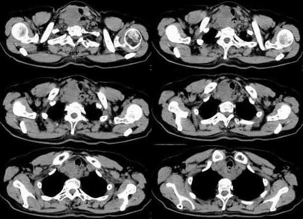
女,61岁,吞咽困难(包括开水)已久。
回复
吴医师
发表于
2010-2-9 18:22
谢谢 学习了
支持
收藏
0
hexue
发表于
2009-7-29 17:06
谢谢 学习了
支持
收藏
0
小博子
发表于
2008-12-24 05:08
同意2楼意见
支持
收藏
0
国王
发表于
2005-3-3 18:14
[emb6]
支持
收藏
0
springlin888999
发表于
2005-3-2 19:45
[emb6]
支持
收藏
0
网友
发表于
2005-3-1 05:16
考虑食道癌伴淋巴结转移 [emb6]
支持
收藏
0
chj1021
发表于
2005-3-1 05:08
食道中上段癌伴锁骨上窝淋巴结转移!!!
支持
收藏
0
kjgj
发表于
2005-3-1 00:29
[emb7][emb21][emb20]
支持
收藏
0
hnzyjz
发表于
2005-2-28 22:31
食管癌并淋巴转移。注意一点是此类患者不要做食道钡透,要用碘类造影剂。
支持
收藏
0
快速回复
返回顶部
返回列表