医影在线

搜索

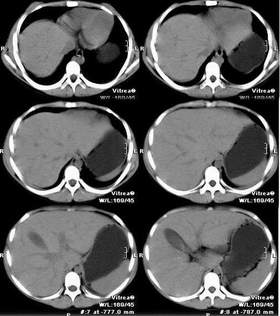
CT01086: (K) 腹部病变2(已经手术,病理结果几天后公布)

查看数: 15677 | 评论数: 55 | 收藏 0
关灯 | 提示:支持键盘翻页<-左 右->
    组图打开中,请稍候......
发布时间: 2005-3-6 22:15

正文摘要:

女性,14岁,腹部逐渐增大一年余,近二个月增大明显加快,在当地医院多次检查,未能确诊。无发热、 无贫血、血象正常,原食欲及饮食正常,近来食后感饱胀。月经尚未潮,第二性征不明显。 肿块高密度ct值754.5-964. ...

回复

dr.yang 发表于 2013-4-3 17:04
手术病理结果-----腹膜后畸胎瘤伴内胚窦瘤,钙化部分病理为畸胎瘤,实质肿块为内胚窦瘤。---学习了!
吴医师 发表于 2010-1-21 19:57
谢谢 学习了
hexue 发表于 2009-7-29 19:23
谢谢 学习了
王明发 发表于 2008-4-22 18:23
结果收到,长见识了,谢谢
peijunlong 发表于 2008-4-22 04:11
手术病理结果-----腹膜后畸胎瘤伴内胚窦瘤,钙化部分病理为畸胎瘤,实质肿块为内胚窦瘤
逸风 发表于 2006-9-2 06:20
学习了!!谢谢楼主~~致敬!
jinguoji 发表于 2006-9-2 05:51
drzhang8888 发表于 2006-8-22 08:13
罕见又没见过支持支持!
tdh 发表于 2005-8-31 07:09
畸胎瘤及卵黄囊瘤
快速回复 返回顶部 返回列表