医影在线

搜索

CT01219: (K) 病例二,有结果

查看数: 7971 | 评论数: 40 | 收藏 0
关灯 | 提示:支持键盘翻页<-左 右->
    组图打开中,请稍候......
发布时间: 2005-4-10 05:09

正文摘要:

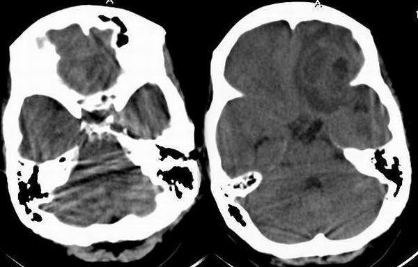
女,59岁,反复头痛月余,加剧二天.

回复

吴医师 发表于 2010-1-22 18:14
学习了!感谢
yixianman001011 发表于 2008-12-23 04:58
考虑星性细胞瘤可能
pysylhj 发表于 2008-12-23 01:45
胶质瘤可能性大,脑脓肿也要考虑
jinguoji 发表于 2007-4-2 10:48
支持脑脓肿
pysylhj 发表于 2007-3-28 06:43
胶质瘤可能性大
yixianman001011 发表于 2007-3-27 06:14
胶质瘤可能性大
swyyy2007 发表于 2007-3-27 05:43
左侧额叶见多房混杂不规则病灶,占位明显,周围见轻度水肿带,左侧侧脑室受压变窄及大脑镰向右移,增强后见病灶壁环行厚薄不均强化,其内低密度未件强化,首先考虑多房脑脓肿,此区脑脓肿多来源于鼻窦炎查鼻窦。2。胶质瘤2-3级,不太支持胶质瘤征象近皮质侧壁太厚,边缘规正。未见典型花环状。
蜜蜂君 发表于 2007-3-27 05:35

回复:ct1219: (k) 病例二,有结果

以下是引用cmg在2005-4-9 21:26:00的发言:[br]该病灶发生于左侧前颅窝底部,有占位表现,增强扫描可见多个环状强化影,不知该患者有没有发热症状及副鼻窦炎的表现?考虑该例为鼻源性脑脓肿可能性大。
aosangwa 发表于 2006-1-2 05:37
收到谢谢
快速回复 返回顶部 返回列表