手机应用
微信
微博
QQ群
普通登陆
QQ登录
找回密码
注册
登录
好友
帖子
收藏
道具
勋章
任务
搜索
搜索
本版
文章
帖子
用户
影像医生
也能
网上问诊
了
首页
社区
BBS
新闻
读片会
影像图库
锐滴达
医影在线
»
社区
›
影像读片
›
CT病例讨论
›
CT00198:股骨病变
CT00198:股骨病变
查看数:
11982
|
评论数:
41
|
收藏
0
关灯
|
提示:支持键盘翻页<-左 右->
帖子模式
组图打开中,请稍候......
收藏
0
赞同
0
反对
0
张颖6606521
发布时间:
2004-4-14 04:21
正文摘要:
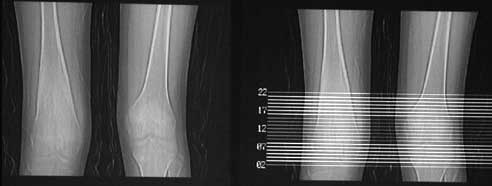
男性,15岁,右下肢疼3年,加重1月无发热,局部无红肿.
回复
zxczxc
发表于
2013-2-28 22:35
瘤巢为低密度环,核为中心高密度灶。骨样骨瘤。典型,学习了。
支持
收藏
0
miaobing
发表于
2013-1-14 16:39
骨样骨瘤,以前也见过一例。特相象。
支持
收藏
0
wd8929053
发表于
2010-4-12 02:55
骨样骨瘤
支持
收藏
0
zxczxc
发表于
2010-4-11 23:19
右股骨下端骨样骨瘤。
支持
收藏
0
zxczxc
发表于
2010-3-28 04:51
典型骨样骨瘤。
支持
收藏
0
fsk880
发表于
2010-1-16 18:06
较为典型的骨样骨瘤。
支持
收藏
0
吴医师
发表于
2010-1-16 17:32
支持骨样骨瘤!
支持
收藏
0
hexue
发表于
2009-7-25 07:00
谢谢 学习了
支持
收藏
0
peijunlong
发表于
2008-4-28 06:05
我要告诉克林顿,莱温斯基,这才是典型的骨样骨瘤
支持
收藏
0
快速回复
返回顶部
返回列表