医影在线

搜索

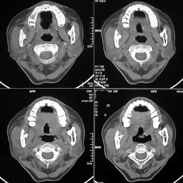
CT00208:下颌骨病变,有病理

查看数: 8638 | 评论数: 34 | 收藏 0
关灯 | 提示:支持键盘翻页<-左 右->
    组图打开中,请稍候......
发布时间: 2004-4-17 03:31

正文摘要:

(结果公布:http://www.radida.com/bbs/forum. ... =1&toread=1#tpc) 患者65f,张口受限一月余,两月前牙齿松动,自行拔出,一月前无明显诱因自牙创处流出脓液,抗炎治疗后略好转,现右侧咬肌肿胀,压之有脓液自 ...

回复

zxczxc 发表于 2013-2-28 22:31
误诊为右下颌骨结核
zxczxc 发表于 2010-4-11 22:55
右下颌骨恶性肿瘤。
zxczxc 发表于 2010-3-28 04:46
右下颌骨肿瘤合并感染。
吴医师 发表于 2010-1-12 21:55
谢谢 学习了
hexue 发表于 2009-7-25 07:02
谢谢 学习了
peijunlong 发表于 2008-3-20 06:59
jinguoji 发表于 2006-11-24 23:02
迷徒者 发表于 2005-1-1 03:56
这和上颌骨的骨髓炎怎么鉴别呀?
翁志蓬 发表于 2004-4-22 07:46
手术病理:高-中分化鳞癌侵及延腺及横纹肌
病理结果地址:http://www.radida.com/radinet/read.php?tid=570
快速回复 返回顶部 返回列表