医影在线

搜索

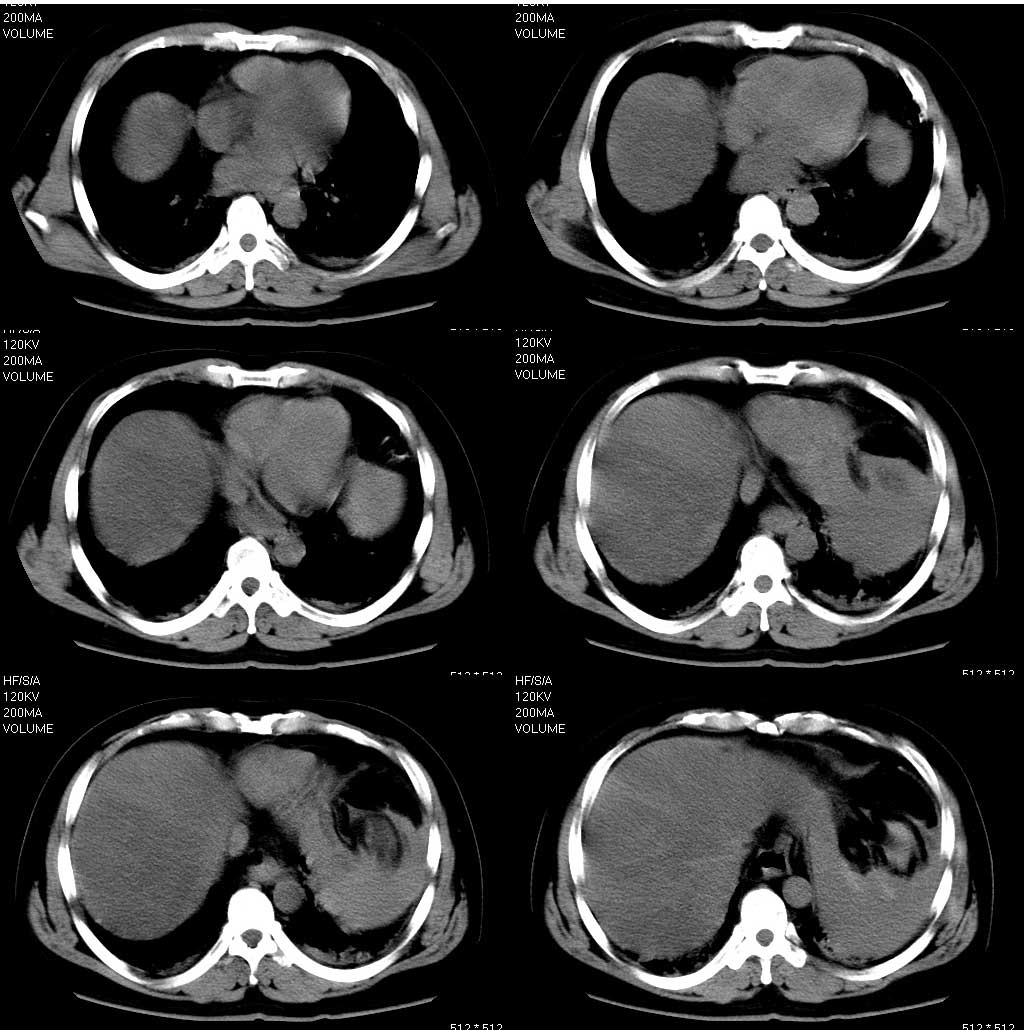
CT21283:(今日凌晨急诊)M,47Y。车祸伤及腹部6小时,现腹

查看数: 10756 | 评论数: 50 | 收藏 0
关灯 | 提示:支持键盘翻页<-左 右->
    组图打开中,请稍候......
发布时间: 2009-7-26 15:46

正文摘要:

(结果公布:http://www.radida.com/bbs/forum.php?mod=viewthread&tid=56287) 男,47岁。车祸伤及腹部6小时,现腹痛难忍。 诊断性腹穿:(—) 左下胸部穿刺:抽出血性液体。 临床诊断:胸腹部闭合性损伤。 腹 ...

回复

ct诊断高手 发表于 2013-1-29 18:45
感谢楼主反馈术后结果!
ZHONGXINMR 发表于 2010-5-19 07:11
谢谢,结果收到
透明 发表于 2010-5-6 09:09
吴医师 发表于 2010-5-5 19:34
谢谢  学习了
tangyong119 发表于 2009-8-3 02:04
学习了,谢谢战友
dsl555 发表于 2009-8-2 02:29
感谢楼主反馈术后病理结果,学习了
杀毒软件 发表于 2009-8-2 02:22
感谢楼主反馈术后病理结果,学习了
513ytb 发表于 2009-8-1 23:58
脾脏呈分叶状,脾周及临近腹膜腔多量高密度影(积血),考脾破裂伴腹腔积血,脂肪肝,双侧胸腔积血。
帅河马 发表于 2009-8-1 03:31
感谢楼主反馈术后结果!
快速回复 返回顶部 返回列表