医影在线

搜索

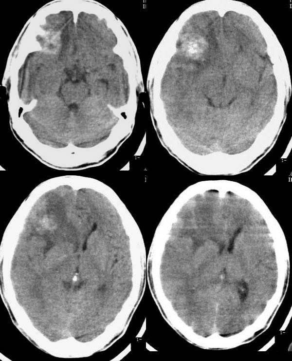
CT00236:颅内病变

查看数: 12955 | 评论数: 53 | 收藏 0
关灯 | 提示:支持键盘翻页<-左 右->
    组图打开中,请稍候......
发布时间: 2004-4-27 08:19

正文摘要:

结果公布:http://www.radida.com/bbs/forum. ... =1&toread=1#tpc m48,反复头痛半月,四肢抽搐一天。

回复

zxczxc 发表于 2013-3-31 17:30
右额叶血管畸形,海绵状血管瘤。
ZHULONG 发表于 2010-4-16 23:54
好病例 学习了
zxczxc 发表于 2010-4-16 05:20
右额叶血管畸形。
拂晓 发表于 2010-1-13 18:46

回复:ct0236:颅内病变

以下是引用yangxuedong在2004-4-27 17:55:00的发言:[br]胶质瘤
吴医师 发表于 2010-1-13 18:42
zbp537 发表于 2009-9-20 17:28
支持胶质瘤。
tian1238 发表于 2009-9-20 17:01
血管畸形伴出血有可能,因为出血水肿期可以有占位。
当然胶质瘤也不能排。mri吧。
支持
yuhongjun 发表于 2009-9-20 13:46
感谢楼主反馈结果。
风云01 发表于 2009-9-20 07:04
快速回复 返回顶部 返回列表