手机应用
微信
微博
QQ群
普通登陆
QQ登录
找回密码
注册
登录
好友
帖子
收藏
道具
勋章
任务
搜索
搜索
本版
文章
帖子
用户
影像医生
也能
网上问诊
了
首页
社区
BBS
新闻
读片会
影像图库
锐滴达
医影在线
»
社区
›
影像读片
›
CT病例讨论
›
CT26448:头部占位
CT26448:头部占位
查看数:
2921
|
评论数:
22
|
收藏
0
关灯
|
提示:支持键盘翻页<-左 右->
帖子模式
组图打开中,请稍候......
收藏
0
赞同
0
反对
0
hurb
发布时间:
2010-5-17 23:52
正文摘要:
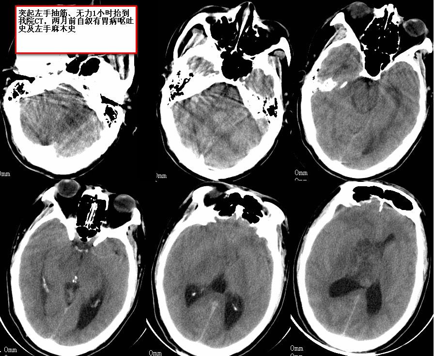
(结果公布:http://www.radida.com/bbs/forum.php?mod=viewthread&tid=66891) 已去湘雅手术
回复
ziyoufeixiang
发表于
2010-6-9 00:53
术后病理结果:胶质瘤3级。
——感谢楼主反馈结果。
支持
收藏
0
pujunzhi
发表于
2010-6-5 19:36
术后病理结果:胶质瘤3级。
——感谢楼主反馈结果。
支持
收藏
0
37度
发表于
2010-6-5 03:39
术后病理结果:胶质瘤3级。
——感谢楼主反馈结果。
支持
收藏
0
张辉9999
发表于
2010-6-4 14:54
恶性胶质瘤可能性大
支持
收藏
0
ct诊断高手
发表于
2010-6-4 07:52
术后病理结果:胶质瘤3级。
——感谢楼主反馈结果。
支持
收藏
0
拾荒者
发表于
2010-6-4 06:48
术后病理结果:胶质瘤3级。
——感谢楼主反馈结果。
支持
收藏
0
吴医师
发表于
2010-6-4 05:54
术后病理结果:胶质瘤3级。
——感谢楼主反馈结果。
支持
收藏
0
随光逐影
发表于
2010-6-3 16:00
术后病理结果:胶质瘤3级。
——感谢楼主反馈结果。
支持
收藏
0
linyiming
发表于
2010-6-3 10:50
考虑胼胝体胶质瘤可能性大。
支持
收藏
0
快速回复
返回顶部
返回列表