医影在线

搜索

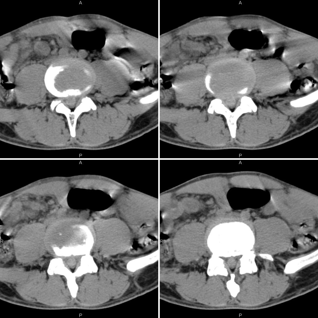
V0637:请大家分析,有手术结果。

查看数: 1789 | 评论数: 16 | 收藏 0
关灯 | 提示:支持键盘翻页<-左 右->
    组图打开中,请稍候......
发布时间: 2010-8-28 23:34

正文摘要:

(结果公布:http://www.radida.com/bbs/forum.php?mod=viewthread&tid=70210) 男,40岁,左侧腰腿痛4~5天,外科检查:l3左侧压痛并下肢放射。

回复

shibing 发表于 2012-6-11 07:22
髓核孤立性脱出
pujunzhi 发表于 2012-6-6 16:10
手术证实v0634:髓核孤立性脱出,易误诊为神经鞘瘤!
宝天曼 发表于 2011-1-24 15:59
v0634:髓核孤立性脱出
宇宙CT 发表于 2010-11-14 20:59
yiwenzhong96 发表于 2010-11-4 20:16
考虑椎间盘脱垂,建议矢状面重建,或MRI检查
ysxyy 发表于 2010-10-30 21:36
多谢楼主提供病例  收藏。
xwctlw 发表于 2010-9-26 01:16
首先排除是否为机器原因造成,建议作空气校准后再扫描一次。如果排除机器原因,以髓核脱出可能性大。
宝天曼 发表于 2010-9-22 18:43
考虑椎管内髓核游离
发表于 2010-9-9 17:25
考虑椎管内髓核游离
快速回复 返回顶部 返回列表