手机应用
微信
微博
QQ群
普通登陆
QQ登录
找回密码
注册
登录
好友
帖子
收藏
道具
勋章
任务
搜索
搜索
文章
帖子
用户
影像医生
也能
网上问诊
了
首页
社区
BBS
新闻
读片会
影像图库
锐滴达
医影在线
›
门户
›
影像图库
›
CT病例
›
食管、胃、肠道
›
查看内容
食管癌
2006-2-19 18:29
|
发布者:
lanfenglin
|
查看:
3341
|
评论: 0
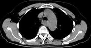
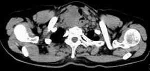
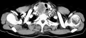
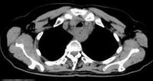
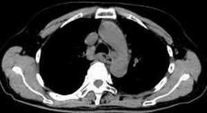
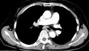
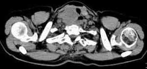
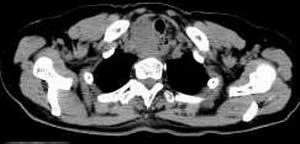
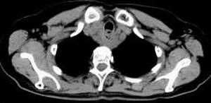
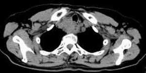
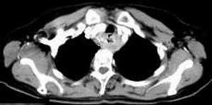
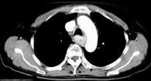
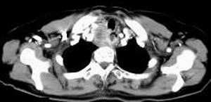
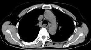
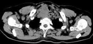
女,61岁,吞咽困难(包括开水)已久。
hejie 发言:
食道中上段癌并锁骨上窝淋巴结转移.
caihe发言:
1、同意食道上段ca併淋巴结转移。
2、做食道呑钡就一目了然。
3、右侧甲状腺是否有问题?是否甲状腺ca转移食道上段。因为肿块顶部图像没有,请楼主展示,谢谢!
结果:
食道中上段中分化鳞癌伴锁骨上淋巴结转移
!
大家都很正确,谢谢!
病例来源:
ct1029 。由
lanfenglin
发布: http://www.
radinet
.com.cn/forum_view.asp?forum_id=4&view_id=3042
鲜花
握手
雷人
路过
鸡蛋
收藏
邀请
相关分类
中枢神经系统
眼、耳、鼻、副鼻窦
颌面、颈部
咽部
肺及下呼吸道
纵隔、胸膜、胸壁
食管、胃、肠道
心脏、大血管
肝、脾、胰腺
胆道系统
男性生殖系统
女性生殖系统
泌尿系统
骨、关节、肌肉
内分泌系统
腹腔、腹壁
返回顶部