医影在线

搜索
医影在线 门户 影像图库 CT病例 泌尿系统 查看内容

膀胱移行细胞癌

2006-2-25 18:38| 发布者: ctboy2005| 查看: 2580| 评论: 0

m/76 患者于2个多月前无明显诱因出现解肉眼血尿,为淡暗红色,无尿急、尿痛、脓尿,自服中草药后症状缓解
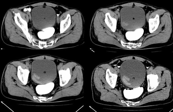
膀胱内高密度ct值约62hu













东北发言:
首先考虑膀胱癌

cmg 发言:
膀胱内偏右后方附壁见不规则软组织密度块影,边缘有分叶,综合患者症状考虑膀胱癌。

ctboy2005 发言:
病人左肾有问题吗?肾皮质看上去很厚!
本人首先考虑膀胱内血凝块!跟踪临床经膀胱镜检查证实,但另有发现:膀胱冲洗血凝块后发现右侧壁见菜花样物质。

结果:
患者行膀胱镜检查,将血块冲洗后发现有菜花样物质! 当时完全被血块掩盖了!
今天下午病理出来了,是膀胱移行细胞癌

病例来源: ct1360。由ctboy2005发布: http://www.radinet.com.cn/forum_view.asp?forum_id=4&view_id=3910

鲜花

握手

雷人

路过

鸡蛋
返回顶部