医影在线

搜索

术后纱布遗留,术后麻痹性肠梗阻肠梗阻

2006-5-10 01:00| 发布者: 迎客松| 查看: 3357| 评论: 0

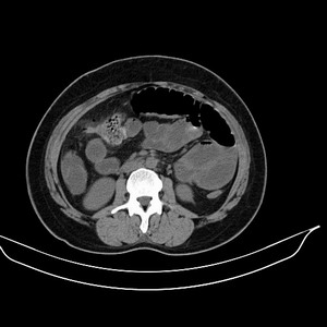
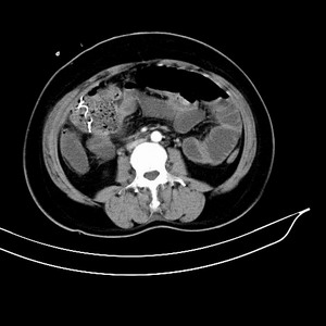
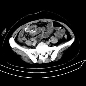
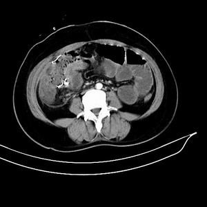
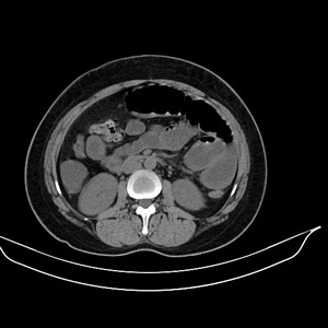
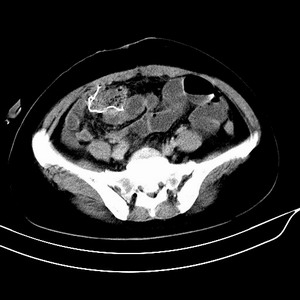
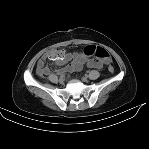
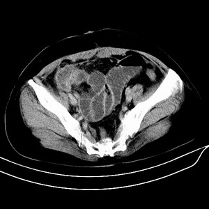
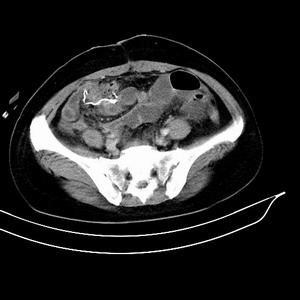
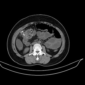
女 42岁 子宫肌瘤于外院术后两天,感腹胀。x线提示肠梗阻。













乡医发言:



zrs发言:
难倒是手术时留下了什么东西?

扬仪发言:
楼主的片子很有意思!好大个烟雾弹……

子宫肌瘤于外院术后两天,出现肠扭转梗阻,很明显。但右下腹部出现的线状高密度,是什么呢?有什么手术会有这样的物品呢?不会把电刀的导线遗留在腹腔吧!?
有可能是患者发现子宫肌瘤前就确诊了,右下腹线状高密度,不存在手术的意义(子宫肌瘤术中没有取出)。
意见如下图:考虑为寄生虫钙化


结果:
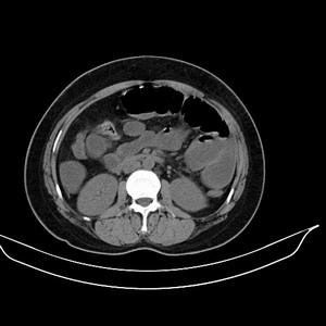
结果:术后纱布遗留,术后麻痹性肠梗阻肠梗阻


上面的图像是我们从手术室拿来的纱布做了个ct平扫,发现纱布里确实存在有一条致密影。后得知致密影是为防止手术时纱布遗留而设计。关腹时怀疑纱布遗留可做个床边透视或拍片可明确。

病例来源:ct3056 。由迎客松发布: http://www.radinet.com.cn/forum_view.asp?forum_id=4&view_id=11264

鲜花

握手

雷人

路过

鸡蛋
返回顶部