手机应用
微信
微博
QQ群
普通登陆
QQ登录
找回密码
注册
登录
好友
帖子
收藏
道具
勋章
任务
搜索
搜索
文章
帖子
用户
影像医生
也能
网上问诊
了
首页
社区
BBS
新闻
读片会
影像图库
锐滴达
医影在线
›
门户
›
影像图库
›
CT病例
›
肝、脾、胰腺
›
查看内容
肝局灶性结节增生
2006-7-2 08:59
|
发布者:
向医生 转贴
|
查看:
3321
|
评论: 0
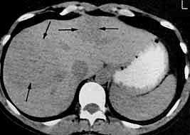
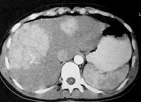
患者女,39岁,无相关症状.平扫显示肝内两个孤立的低密度灶.
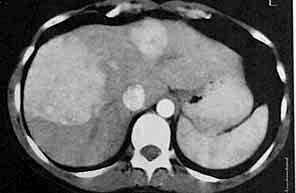
增强扫描延迟20秒显示两个明显强化的病灶,内有中心瘢痕.
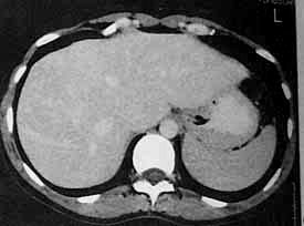
延迟2分钟显示病灶和肝实质密度一致.
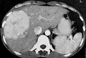
5个月后复查显示两个病灶没有变化.
(病例经腹腔镜证实为肝局灶结节增生)
鲜花
握手
雷人
路过
鸡蛋
收藏
邀请
相关分类
中枢神经系统
眼、耳、鼻、副鼻窦
颌面、颈部
咽部
肺及下呼吸道
纵隔、胸膜、胸壁
食管、胃、肠道
心脏、大血管
肝、脾、胰腺
胆道系统
男性生殖系统
女性生殖系统
泌尿系统
骨、关节、肌肉
内分泌系统
腹腔、腹壁
返回顶部