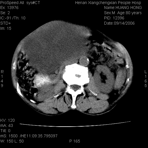
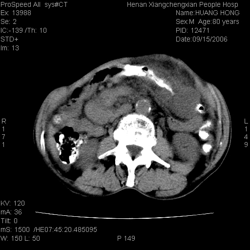
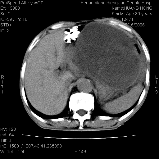
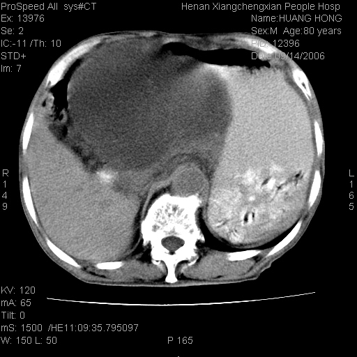
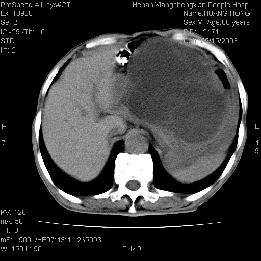
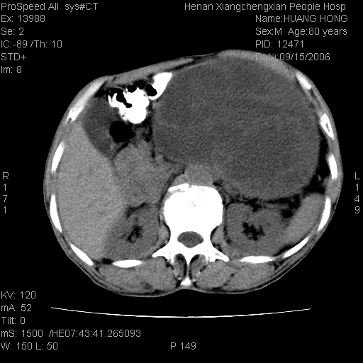
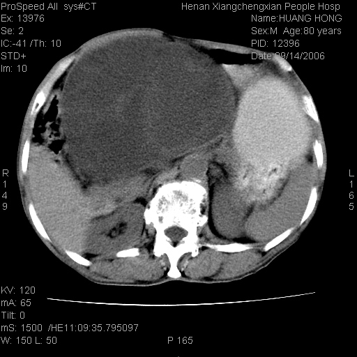
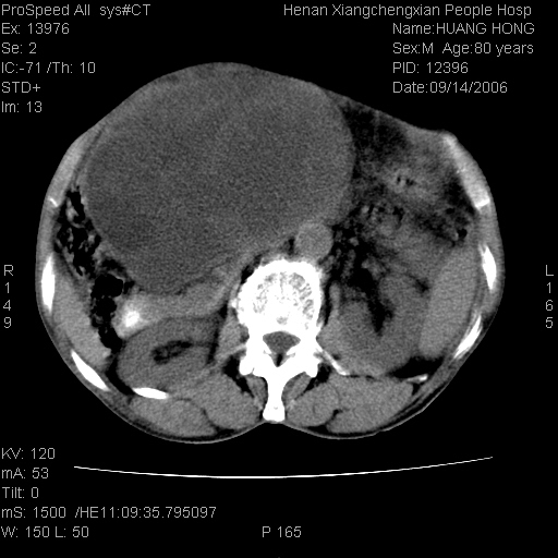
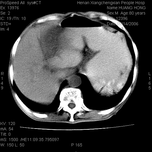
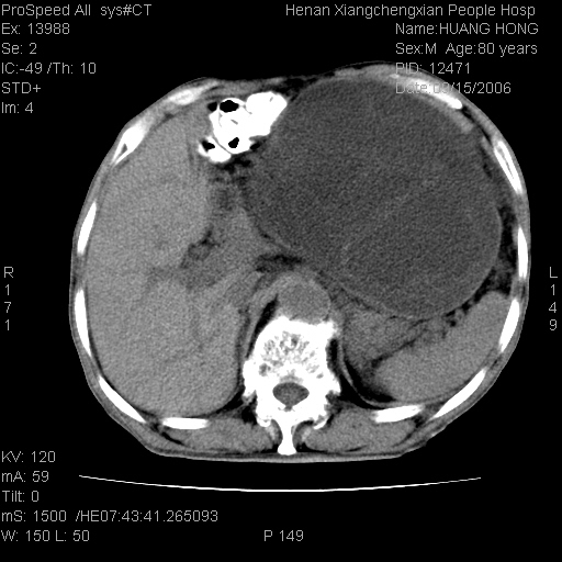
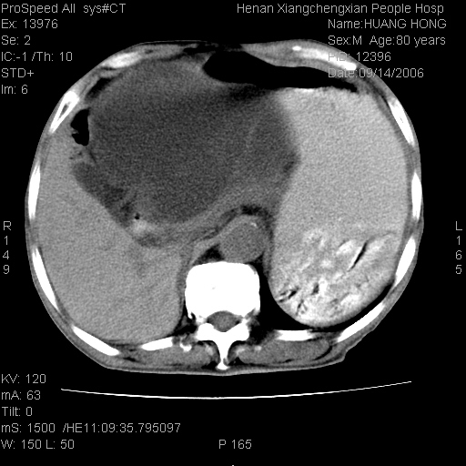
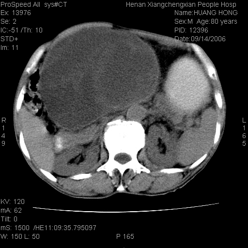
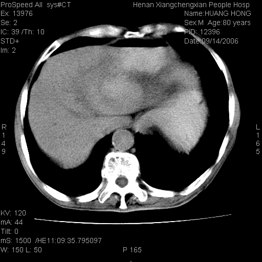
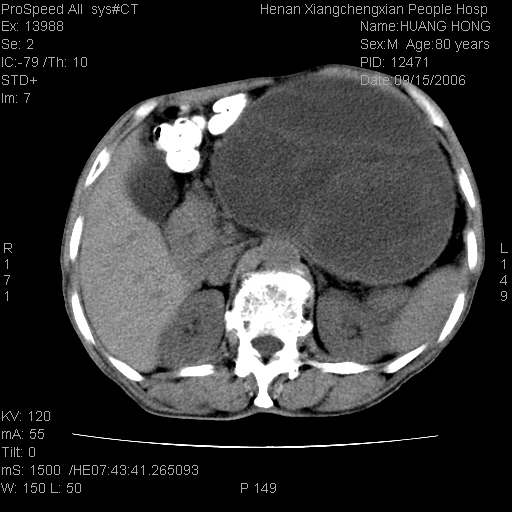
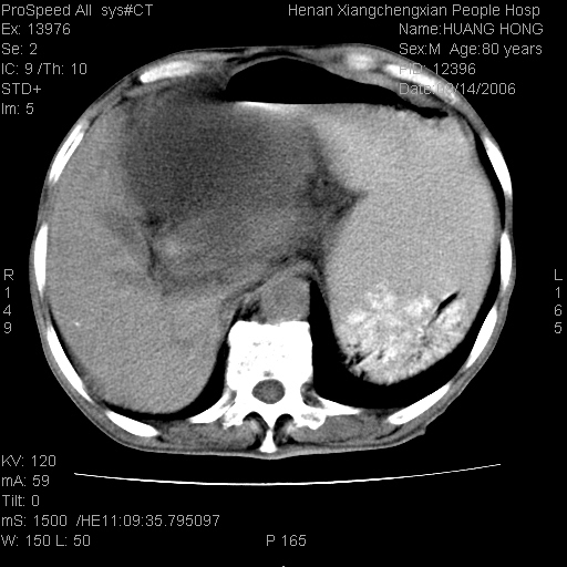
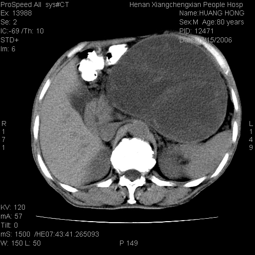
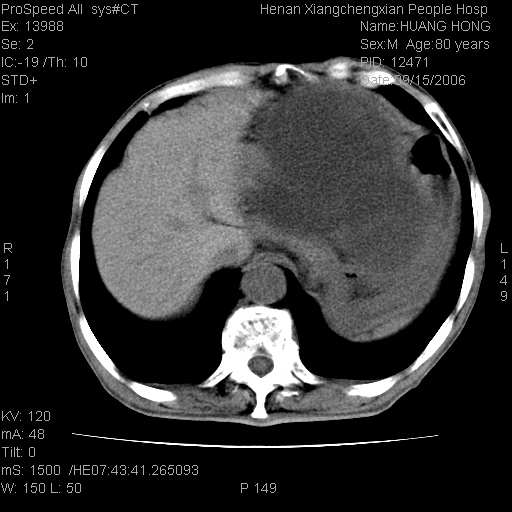
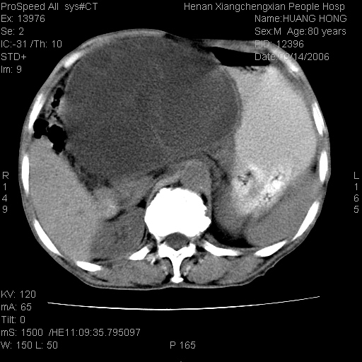
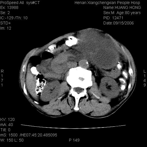
患者, 男, 80岁, 发现上腹部包块1年余,无其它不适.2006-9-14ct片是喝水后扫描2006-9-15ct片没喝水扫描![]() ![]() ![]() ![]() ![]() ![]() ![]() ![]() ![]() ![]() ![]() ![]() ![]() ![]() ![]() ![]() 以上是喝水片 以下是空腹片 ![]() ![]() ![]() ![]() ![]() ![]() ![]() ![]() ![]() ![]() ![]() ![]() ct:胰腺前方、肝脏与胃之间可见巨大类圆形囊性低密度影,大小约152mmx145mmx118mm,上缘平t11椎体上缘,下缘平l3椎体下缘,密度均匀,ct值15hu,其内呈多房分隔,囊壁薄且光滑,边界清晰,周围组织及器官明显受压。肝脏实质内未见异常密度影,胆囊未见异常,胰腺密度未见异常,脾脏大小、形态及密度未见异常,腹膜后间隙未见肿大淋巴结影。 印象:胰腺前方、肝脏与胃之间巨大类圆形囊性低密度影.性质待定。多考虑:.肠系膜巨大囊肿。 守望可可西里发言:支持楼主,考虑肠系膜囊肿,多为小肠系膜。 ysxyy发言:我总觉得这个病人虽然很像肠系膜囊肿,但还是应该强化一下; 下面这几幅图里肿块和主动脉的关系不太清,不知能否除外血管性来源? ![]() ![]() ![]() 病理结果:横结肠系膜间叶瘤.部分区域间质细胞增生活跃. 病理图片 ![]() 良性间叶瘤:是指由两种或两种以上的间叶组织所构成的混合性肿瘤.肿瘤仅发生在腹膜后和肠系膜,.前者较后者多发.良性间叶瘤常发生在肾或四肢,腹膜后较少见,各年龄均可发病.女多与男,预后较好,但术后易复法. 恶性间叶瘤:由两种以上恶性间叶组织成分组成. 光镜:肿瘤由脂肪/血管/平滑肌构成. 原贴地址: http://www.radinet.com.cn/forum_view.asp?forum_id=4&view_id=16217 ok |