手机应用
微信
微博
QQ群
普通登陆
QQ登录
找回密码
注册
登录
好友
帖子
收藏
道具
勋章
任务
搜索
搜索
文章
帖子
用户
影像医生
也能
网上问诊
了
首页
社区
BBS
新闻
读片会
影像图库
锐滴达
医影在线
›
门户
›
影像图库
›
CT病例
›
食管、胃、肠道
›
查看内容
胃癌01
2003-12-18 04:27
|
发布者:
翁志蓬
|
查看:
3289
|
评论: 0
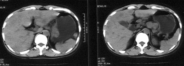
男性,46岁。腹痛月余。胃镜检查示“胃贲门区占位”,活检病理示
“胃贲门癌”。
ct平扫:胃贲门部见软组织肿物突入胃腔内,大小4x3cm,浅分叶状,中央密度较低,邻近胃壁增厚。外缘与周围组织分界清。im25层面,小网膜囊区见两枚肿大淋巴结,直径均约3cm。肝脏大小正常,肝内散在分布多个大小不等的类圆形低密度影,最大者位于肝右前叶上段,直径约4cm,病灶边缘模糊,与正常肝实质分界欠清。
ct诊断:胃贲门癌,并腹腔淋巴结转移及肝内多发转移。
鲜花
握手
雷人
路过
鸡蛋
收藏
邀请
相关分类
中枢神经系统
眼、耳、鼻、副鼻窦
颌面、颈部
咽部
肺及下呼吸道
纵隔、胸膜、胸壁
食管、胃、肠道
心脏、大血管
肝、脾、胰腺
胆道系统
男性生殖系统
女性生殖系统
泌尿系统
骨、关节、肌肉
内分泌系统
腹腔、腹壁
返回顶部