手机应用
微信
微博
QQ群
普通登陆
QQ登录
找回密码
注册
登录
好友
帖子
收藏
道具
勋章
任务
搜索
搜索
文章
帖子
用户
影像医生
也能
网上问诊
了
首页
社区
BBS
新闻
读片会
影像图库
锐滴达
医影在线
›
门户
›
影像图库
›
CT病例
›
心脏、大血管
›
查看内容
夹层动脉瘤02
2003-12-21 07:27
|
发布者:
翁志蓬
|
查看:
6510
|
评论: 0
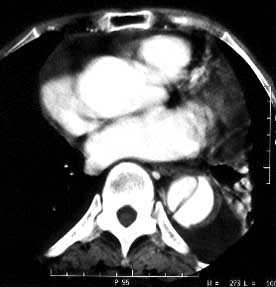
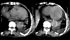
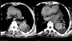
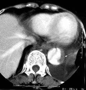
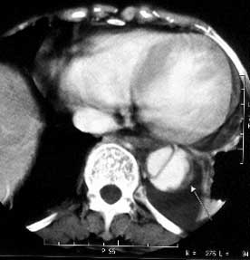
女性,71岁,胸骨后疼痛两小时来诊。体检:心界左下扩大,心率70次/每分,律齐,无杂音。x线胸片示:纵隔增宽。
ct平扫:降主动脉全程约18cm范围内管腔扩张,管腔被条索影分隔成前内、外后两腔,条索影与管壁连接处见散在点状钙化影。
增强扫描:见前内腔较小,与主动脉弓同步强化;后外腔较大,造影剂消退时间教主动脉弓延长,切管壁不均匀增厚,强化不明显。
ct诊断:降主动脉夹层动脉瘤,伴附壁血栓形成。
鲜花
握手
雷人
路过
鸡蛋
收藏
邀请
相关分类
中枢神经系统
眼、耳、鼻、副鼻窦
颌面、颈部
咽部
肺及下呼吸道
纵隔、胸膜、胸壁
食管、胃、肠道
心脏、大血管
肝、脾、胰腺
胆道系统
男性生殖系统
女性生殖系统
泌尿系统
骨、关节、肌肉
内分泌系统
腹腔、腹壁
返回顶部