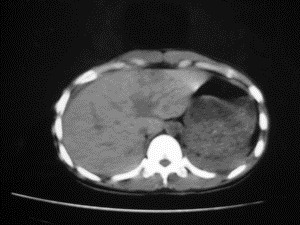
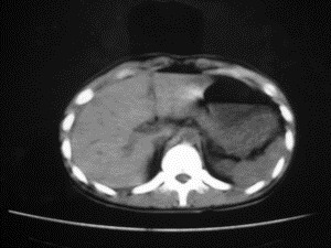
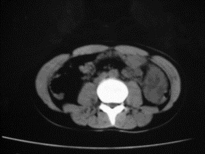
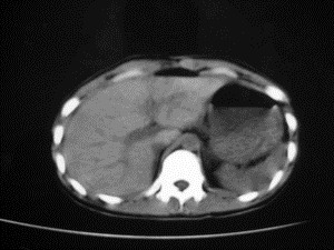
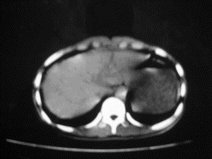
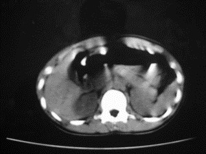
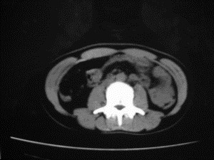
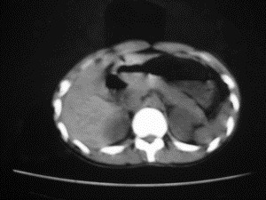
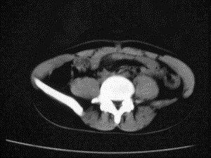
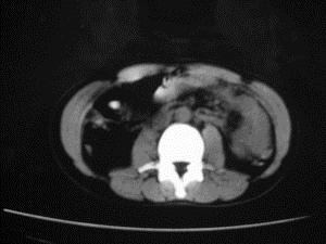
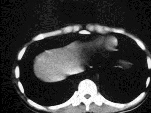
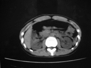
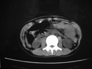
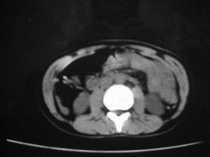
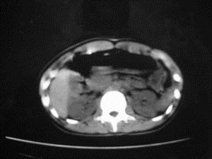
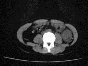
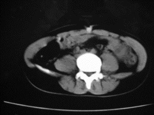
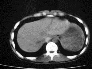
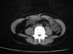
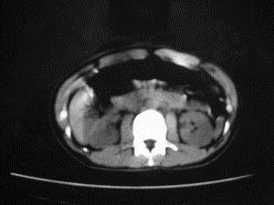
患者女,20岁,被车撞伤3小时,pe:全腹肌紧张,压痛反跳痛,以右上腹为著,肠鸣音减弱。有手术结果。![]() ![]() ![]() ![]() ![]() ![]() ![]() ![]() ![]() ![]() ![]() ![]() ![]() ![]() ![]() ![]() ![]() ![]() ![]() ![]() ![]() jiajie发言: ![]() 考虑空腔脏器穿孔。 dyqct发言:考虑:1、肝左叶外侧段断裂伤伴少量腹血。2、空腔脏器穿孔。 fangzheng发言:仅见腹腔内游离气体,提示空腔脏器穿孔。 guoke发言:胃内密度增高,肠腔内充满气体,考虑肠腔破裂出血 mmg94发言:胃后壁见一增厚软组织密度影,肝左叶前见游离气体影,左腹腔内局部肠管壁、系膜增厚。并见类圆形软组织。以上征象提示消化道管腔破裂,小肠、肠系膜挫裂伤,腹腔血肿形成。 拾荒者发言:肝实质密度不均匀,胃内见不均匀高密度影。考虑:肝挫裂伤,胃内应激性溃疡出血。 守望可可西里发言: 以下是引用jiajie在2006-6-20 15:49:00的发言:[br] [br][br]考虑空腔脏器穿孔。jiajie老师,我鼓起了很大的勇气才决定给您唱个反调儿,如果我错了,请您一定给我指出来,谢谢您了。我反复看了解剖图谱,觉得您所说的“考虑空腔脏器穿孔”上图所用箭头标明的不是游离气体。请您看以下几幅图片: ![]() ![]() ![]() ![]() ![]() ![]() ![]() ![]() 再请您看向医生老师发表的解剖图谱3幅 ![]() ![]() ![]() 这以下几幅图,我认为是肝包膜下积血。不过,说实在话,我没有发现有明显的肝挫裂伤。不对的地方请您一定指出来,再次感谢您了,jiajie 老师! ![]() ![]() ![]() ![]() 这下面几幅图片,我认为有明显的左中上腹部小肠损伤。 ![]() ![]() ![]() ![]() ![]() ![]() ![]() ![]() jiajie 老师,估计我说的是错误的,但我实在闹不明白,请您一定不要笑话我,并指出我的错误,以便于我减少工作中的失误。再次感谢您了,jiajie 老师! 至于胃内的不均匀高密度,我认为拾荒者战友说的有道理,胃内应激性溃疡出血和胃内容物混合所致。 手术结果:左肝叶(iv段)前缘长约8cm挫裂伤口,舌叶根部下< |