手机应用
微信
微博
QQ群
普通登陆
QQ登录
找回密码
注册
登录
好友
帖子
收藏
道具
勋章
任务
搜索
搜索
文章
帖子
用户
影像医生
也能
网上问诊
了
首页
社区
BBS
新闻
读片会
影像图库
锐滴达
医影在线
›
门户
›
影像图库
›
CT病例
›
泌尿系统
›
查看内容
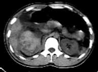
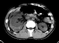
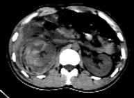
肾挫裂伤01
2003-12-26 08:13
|
发布者:
翁志蓬
|
查看:
3358
|
评论: 0
男性,22岁,车祸,被汽车方向盘压伤右季肋部,局部见长5cm的伤口。
ct表现:右侧肾上腺肿大,密度增高,右肾上极段肿胀,密度增高,右侧肾周间隙积血。
ct诊断:右肾及肾上腺挫裂伤
鲜花
握手
雷人
路过
鸡蛋
收藏
邀请
相关分类
中枢神经系统
眼、耳、鼻、副鼻窦
颌面、颈部
咽部
肺及下呼吸道
纵隔、胸膜、胸壁
食管、胃、肠道
心脏、大血管
肝、脾、胰腺
胆道系统
男性生殖系统
女性生殖系统
泌尿系统
骨、关节、肌肉
内分泌系统
腹腔、腹壁
返回顶部