手机应用
微信
微博
QQ群
普通登陆
QQ登录
找回密码
注册
登录
好友
帖子
收藏
道具
勋章
任务
搜索
搜索
文章
帖子
用户
影像医生
也能
网上问诊
了
首页
社区
BBS
新闻
读片会
影像图库
锐滴达
医影在线
›
门户
›
影像图库
›
CT病例
›
泌尿系统
›
查看内容
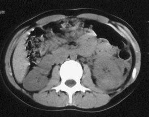
肾挫裂伤03
2003-12-26 08:23
|
发布者:
翁志蓬
|
查看:
3642
|
评论: 0
女性,16岁,3小时前骑自行不慎跌落小溪,左侧躯体着地,背痛,无呕。体检:胸左侧季肋部皮肤擦伤,腹稍胀,左上腹轻压痛。
ct平扫:左肾稍肿大,肾实质密度稍欠均匀,肾包膜下见略高密度影,ct值55hu,右肾未见异常。
ct诊断:左肾挫裂伤,并肾包膜下积血。
鲜花
握手
雷人
路过
鸡蛋
收藏
邀请
上一篇:
肾囊肿04
下一篇:
膀胱癌04
相关分类
中枢神经系统
眼、耳、鼻、副鼻窦
颌面、颈部
咽部
肺及下呼吸道
纵隔、胸膜、胸壁
食管、胃、肠道
心脏、大血管
肝、脾、胰腺
胆道系统
男性生殖系统
女性生殖系统
泌尿系统
骨、关节、肌肉
内分泌系统
腹腔、腹壁
返回顶部