手机应用
微信
微博
QQ群
普通登陆
QQ登录
找回密码
注册
登录
好友
帖子
收藏
道具
勋章
任务
搜索
搜索
文章
帖子
用户
影像医生
也能
网上问诊
了
首页
社区
BBS
新闻
读片会
影像图库
锐滴达
医影在线
›
门户
›
影像图库
›
CT病例
›
腹腔、腹壁
›
查看内容
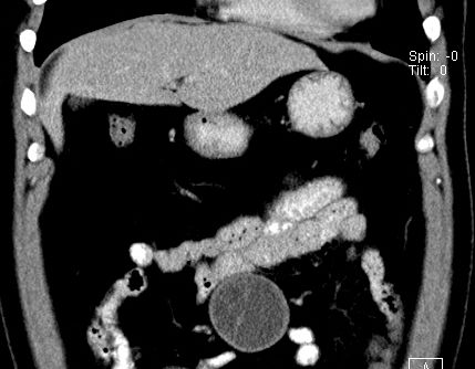
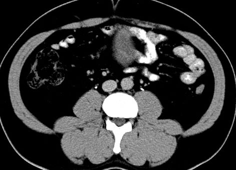
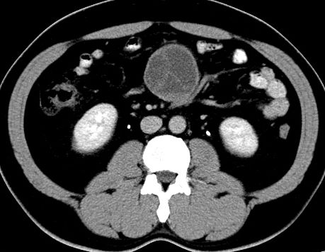
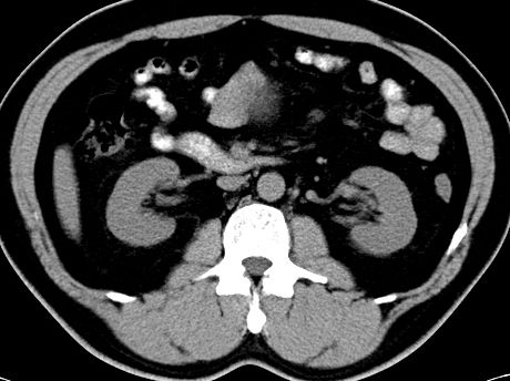
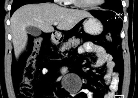
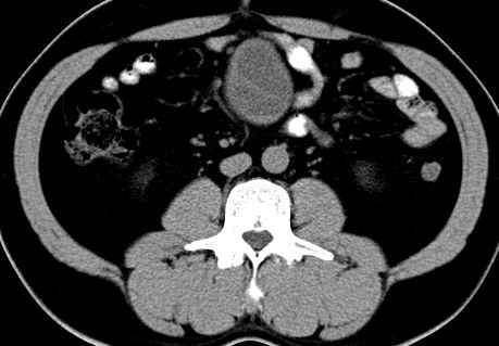
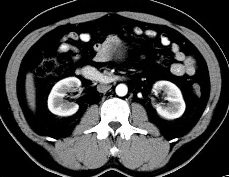
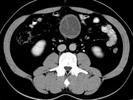
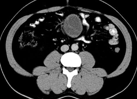
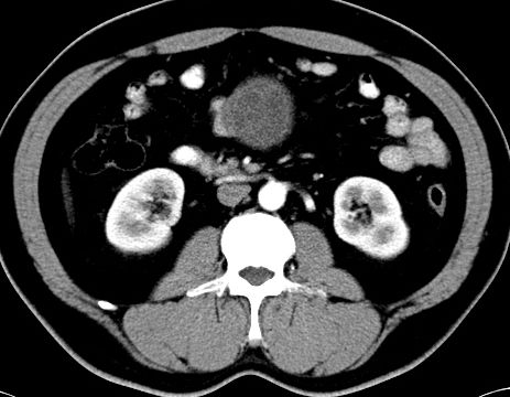
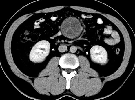
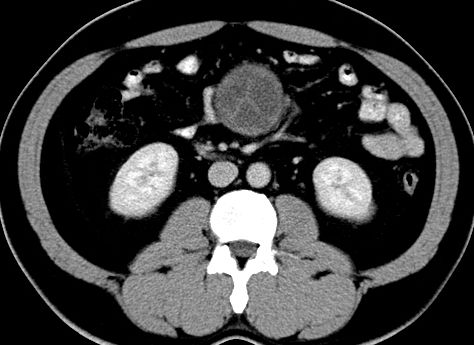
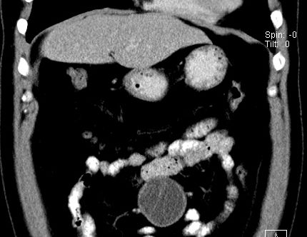
(腹腔)神经鞘瘤
2007-9-24 08:02
|
发布者:
chmb
|
查看:
2663
|
评论: 0
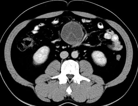
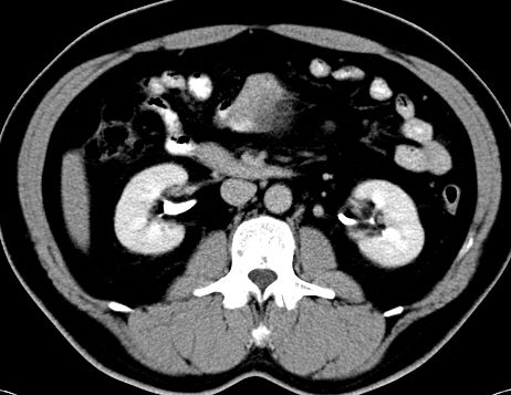
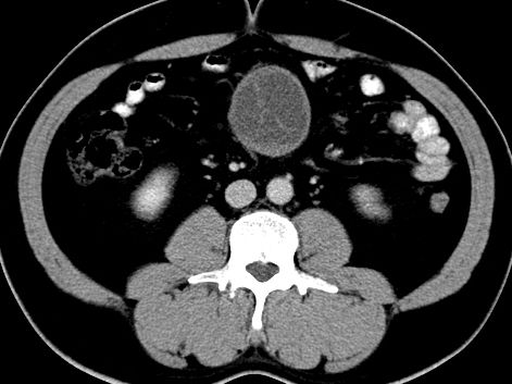
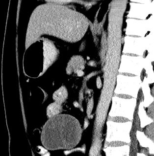
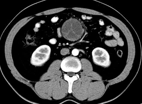
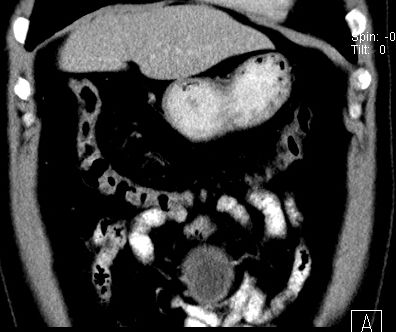
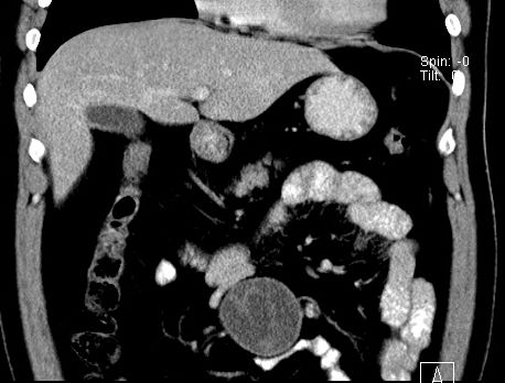
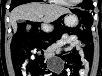
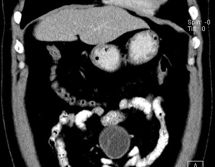
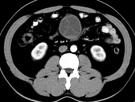
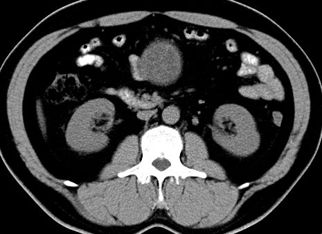
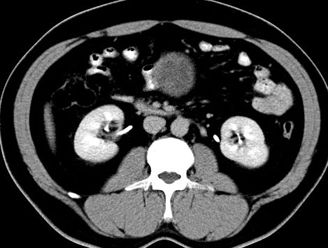
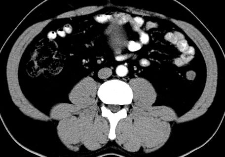
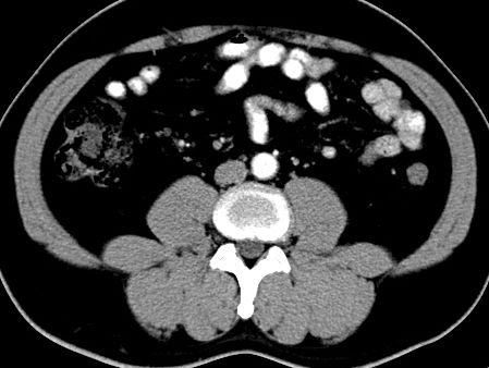
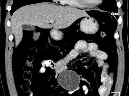
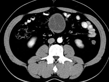
男,48岁,间断性下腹不适1年。
手术探查
:距回盲部28厘米处肠系膜根部可见5*7cm左右包块,质中等硬度,活动度尚可,肝、胆、胰、脾肾未见明显异常。
病理
:(腹腔)
神经鞘瘤
,伴出血、坏死及囊性变,伴淋巴结反应性增生。
免疫组化结果
:sma(-), desmin(-), cd117(-), s-100(+++), nf(-),vimentin(+++).
原贴地址
:http://www.
radinet
.com.cn/forum_view.asp?forum_id=4&view_id=25677
鲜花
握手
雷人
路过
鸡蛋
收藏
邀请
相关分类
中枢神经系统
眼、耳、鼻、副鼻窦
颌面、颈部
咽部
肺及下呼吸道
纵隔、胸膜、胸壁
食管、胃、肠道
心脏、大血管
肝、脾、胰腺
胆道系统
男性生殖系统
女性生殖系统
泌尿系统
骨、关节、肌肉
内分泌系统
腹腔、腹壁
返回顶部