手机应用
微信
微博
QQ群
普通登陆
QQ登录
找回密码
注册
登录
好友
帖子
收藏
道具
勋章
任务
搜索
搜索
文章
帖子
用户
影像医生
也能
网上问诊
了
首页
社区
BBS
新闻
读片会
影像图库
锐滴达
医影在线
›
门户
›
影像图库
›
CT病例
›
食管、胃、肠道
›
查看内容
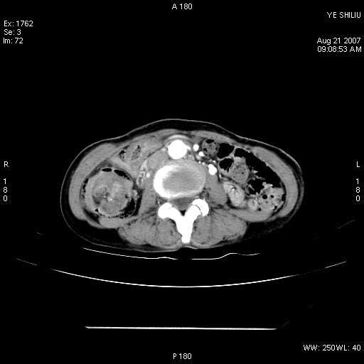
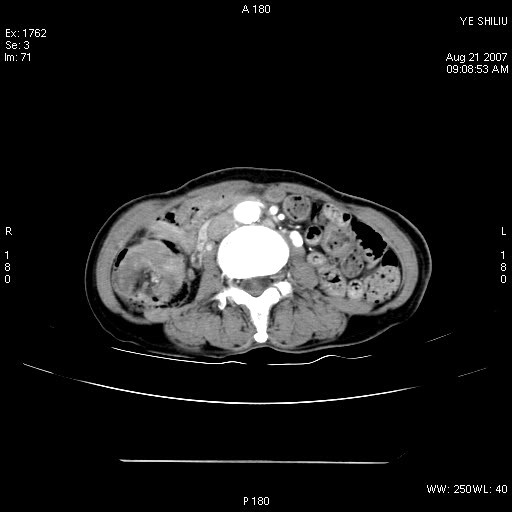
回盲部腺癌
2007-10-12 01:40
|
发布者:
NANJING
|
查看:
2584
|
评论: 0
患者,女,74岁,腹痛一周。开始为脐周疼痛,后转移至右下腹。治疗经过:门诊拟急性阑尾炎收内科治疗,b超示胆囊结石、胆囊炎转外科。拟行胆囊切除术前检查ct。
[
鲜花
握手
雷人
路过
鸡蛋
收藏
邀请
相关分类
中枢神经系统
眼、耳、鼻、副鼻窦
颌面、颈部
咽部
肺及下呼吸道
纵隔、胸膜、胸壁
食管、胃、肠道
心脏、大血管
肝、脾、胰腺
胆道系统
男性生殖系统
女性生殖系统
泌尿系统
骨、关节、肌肉
内分泌系统
腹腔、腹壁
返回顶部