手机应用
微信
微博
QQ群
普通登陆
QQ登录
找回密码
注册
登录
好友
帖子
收藏
道具
勋章
任务
搜索
搜索
文章
帖子
用户
影像医生
也能
网上问诊
了
首页
社区
BBS
新闻
读片会
影像图库
锐滴达
医影在线
›
门户
›
影像图库
›
CT病例
›
食管、胃、肠道
›
查看内容
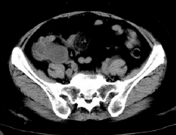
阑尾粘液腺癌
2007-10-22 08:00
|
发布者:
李晓阳
|
查看:
1995
|
评论: 0
右侧下腹疼痛,二便常规正常,其他化验室检查无异常
手术病理
:
阑尾粘液腺癌
。
[本贴已被 jiajie 于 2007-7-20 13:19:25 修改过]
鲜花
握手
雷人
路过
鸡蛋
收藏
邀请
相关分类
中枢神经系统
眼、耳、鼻、副鼻窦
颌面、颈部
咽部
肺及下呼吸道
纵隔、胸膜、胸壁
食管、胃、肠道
心脏、大血管
肝、脾、胰腺
胆道系统
男性生殖系统
女性生殖系统
泌尿系统
骨、关节、肌肉
内分泌系统
腹腔、腹壁
返回顶部