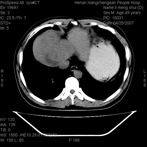
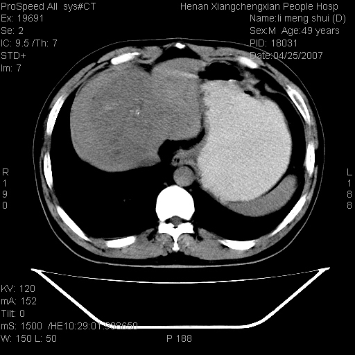
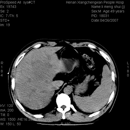
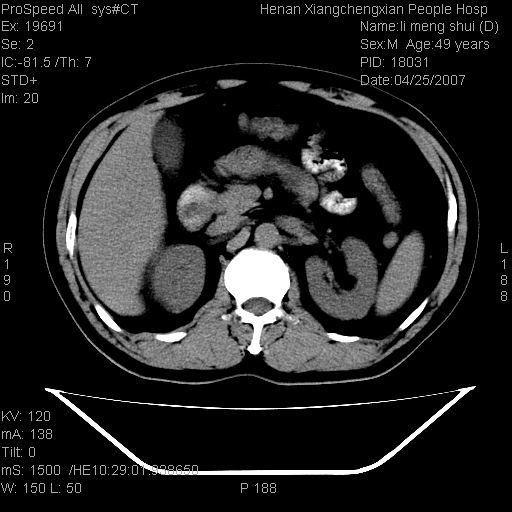
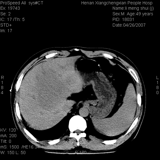
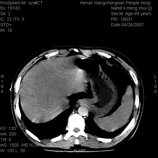
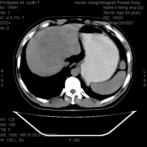
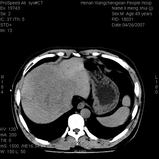
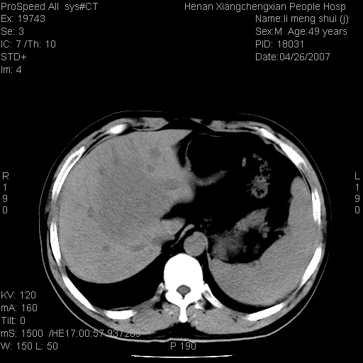
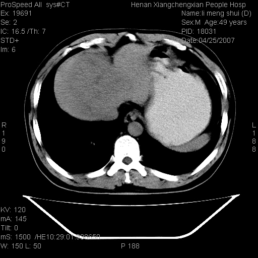
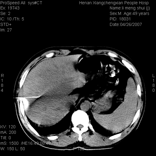
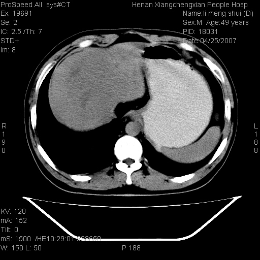
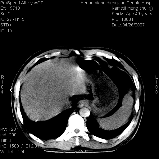
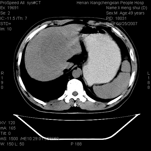
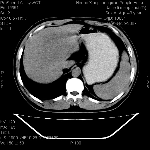
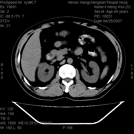
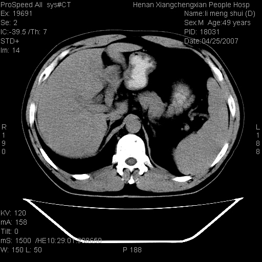
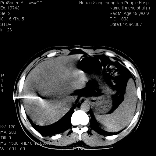
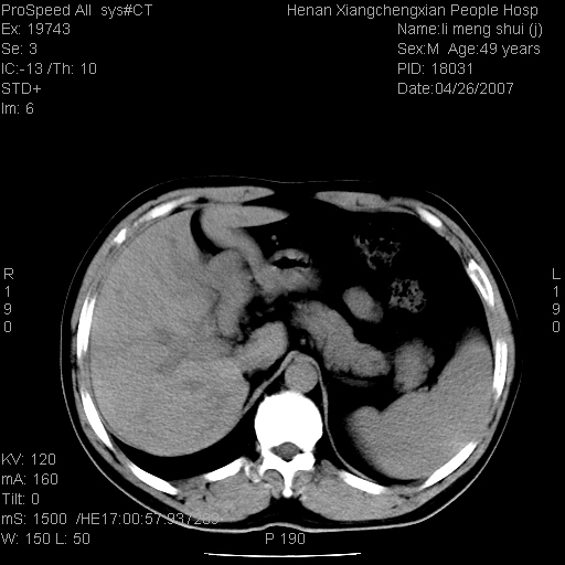
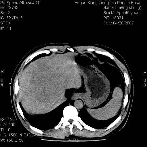
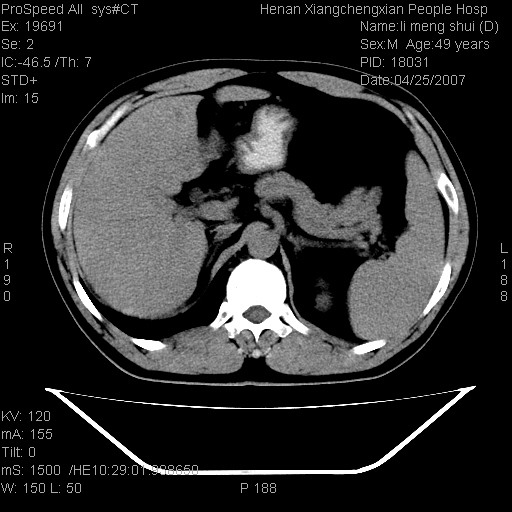
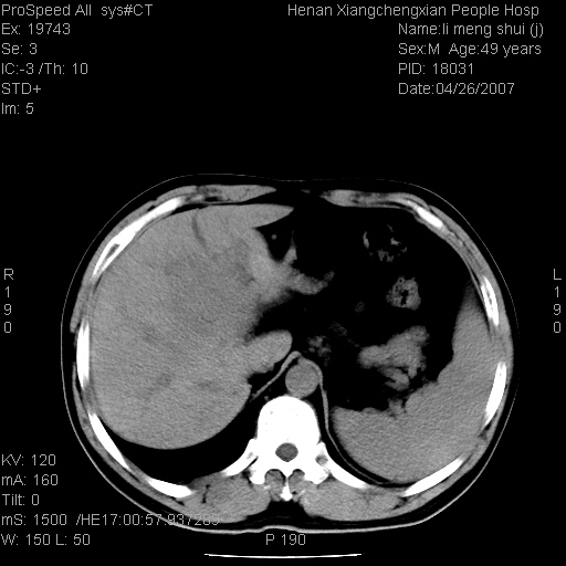
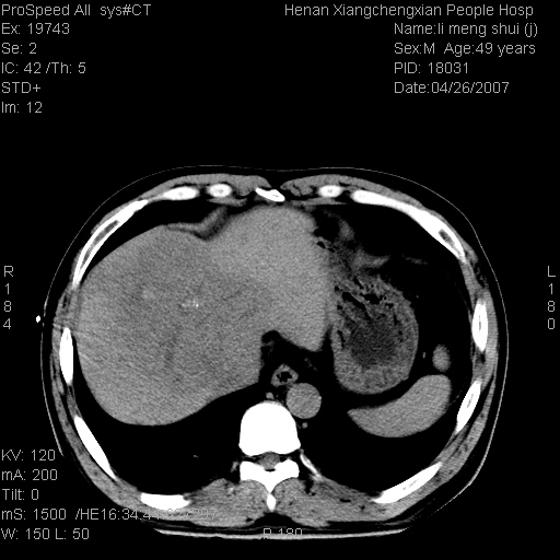
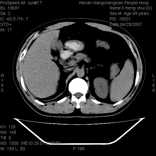
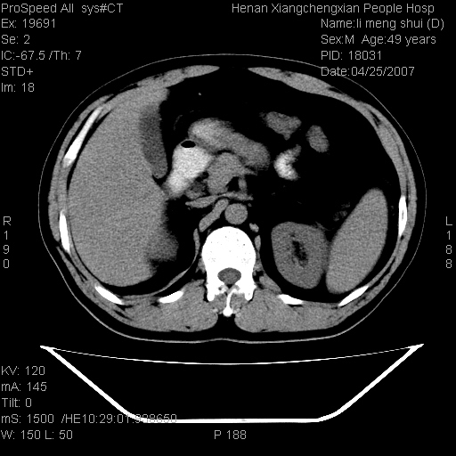
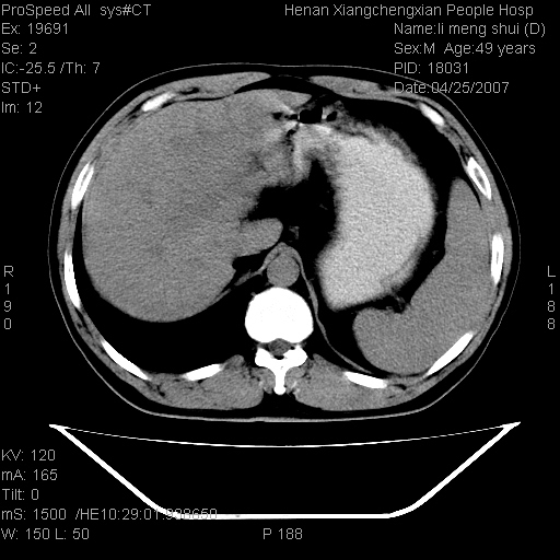
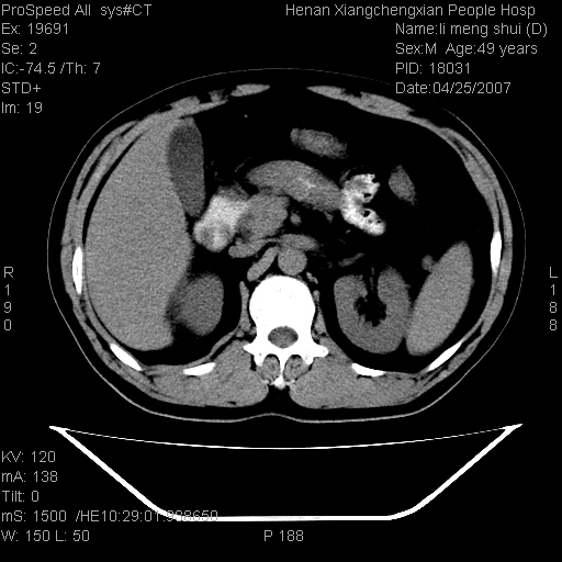
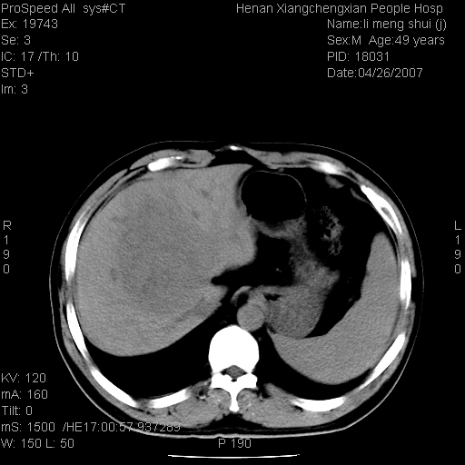
| 患者,男,49岁, 腹疼伴恶心\\呕吐20天,20天前无明显诱因出现右上腹部疼痛,钝疼,无放射,伴恶心\\呕吐,不伴发热.患者不愿增强. b超:肝脏右叶实性占位. ct:肝脏右叶可见一巨块状圆形低密度影,大小约93mm*84mm,其内可见点状高密度影,胆囊、胰腺、脾脏大小、形态及密度未见异常,腹膜后间隙未见肿大淋巴结影。 印象:肝脏右叶巨大肿块,性质待定,建议增强并穿刺活检进一步确诊。 ct平扫: ![]() ![]() ![]() ![]() ![]() ![]() ![]() ![]() ![]() ![]() ![]() ![]() ![]() ![]() ![]() ![]() ![]() 肝脏右叶肿块ct引导下穿刺活检术 患者于16时05分仰卧于ct检查台上,首先行肝脏ct扫描确定进针位置、深度、角度。在局麻下行ct引导下肝脏右叶肿块穿刺活检术。常规消毒、铺巾、局麻。在ct引导下使活检针经右侧腋中线、第9肋间隙垂直胸壁进针90mm,针头进入病变预定位置。在病变预定位置多点、多方向抽取小米样病变组织多块,涂片五张送病理检查。术后穿刺点局部无出血,未出现腹腔积液等并发症。术中及术后患者生命体征稳定,手术于17时10分成功完成。患者安返病房。 穿刺片 ![]() ![]() ![]() ![]() ![]() ![]() ![]() ![]() ![]() ![]() ![]() ![]() ![]() ![]() ![]() ![]() 病理结果肝细胞癌 ![]() 原贴地址:http://www.radinet.com.cn/forum_view.asp?forum_id=4&view_id=24130 ok |