手机应用
微信
微博
QQ群
普通登陆
QQ登录
找回密码
注册
登录
好友
帖子
收藏
道具
勋章
任务
搜索
搜索
文章
帖子
用户
影像医生
也能
网上问诊
了
首页
社区
BBS
新闻
读片会
影像图库
锐滴达
医影在线
›
门户
›
影像图库
›
X线病例
›
循环系统
›
查看内容
先天性心脏病、房间隔缺损
2008-2-25 07:39
|
发布者:
jiajie
|
查看:
6402
|
评论: 0
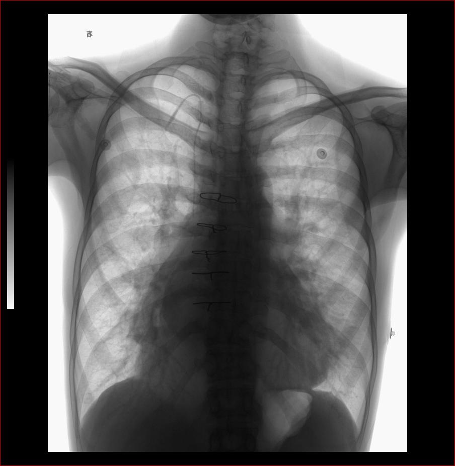
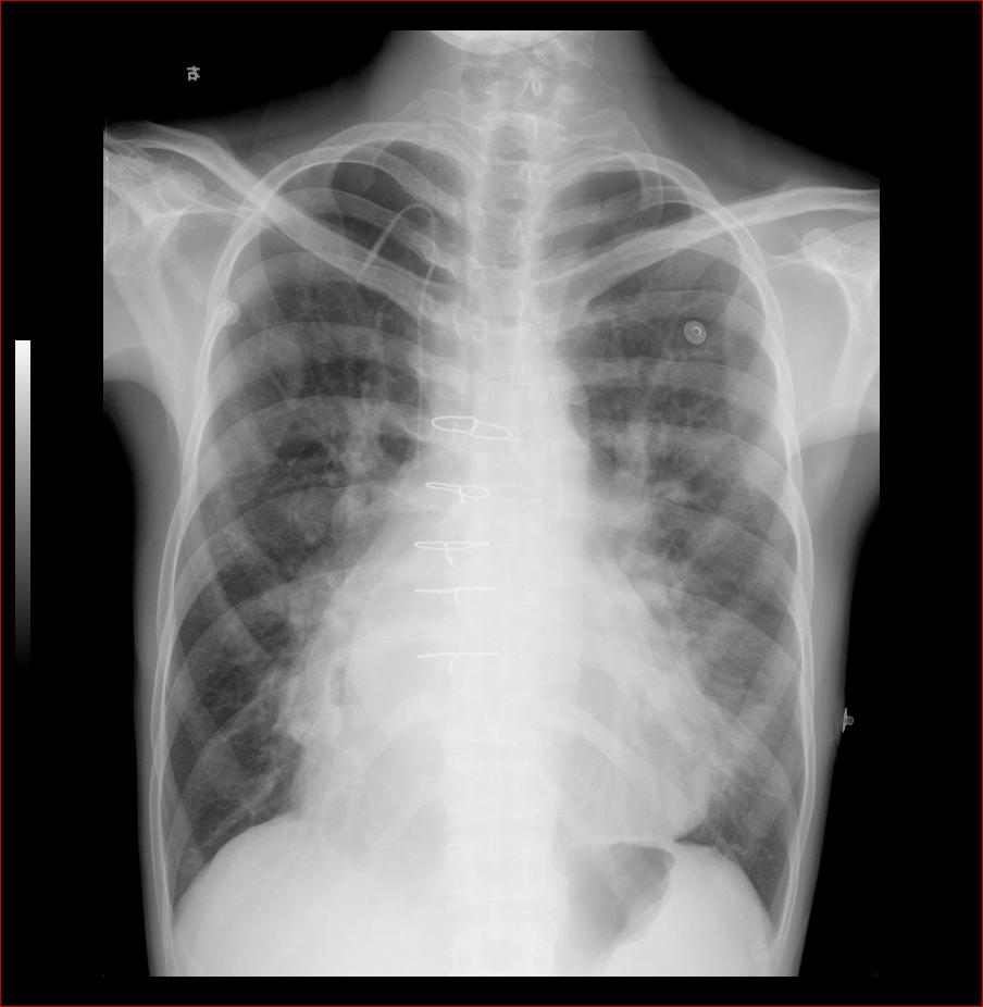
男31岁,心悸,气短
术后复查:
杀毒软件
发言
:主动脉结小,肺动脉突出,左心缘圆隆,右心房/心高值大,未见双房影,双肺呈多血改变,右下肺动脉宽。
符合先心病。心房间隔缺损。建议心彩。
结果
:患者既往彩超检查诊断,先心房缺
原贴地址
:http://www.
radinet
.com.cn/forum_view.asp?forum_id=9&view_id=34850
鲜花
握手
雷人
路过
鸡蛋
收藏
邀请
相关分类
呼吸系统
循环系统
骨与关节系统
中枢神经系统
五官
消化系统
泌尿系统
女性生殖系统
介入诊断及治疗
乳腺钼钯
返回顶部