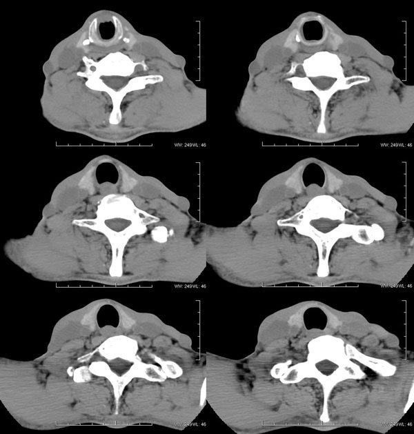
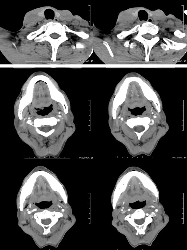
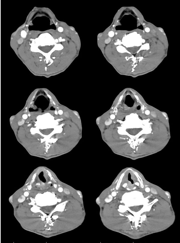
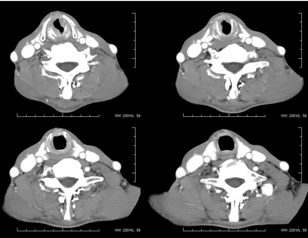
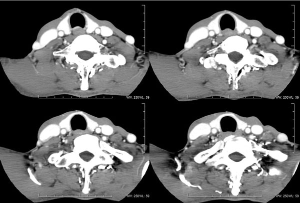
| 男性,57岁。反复声嘶1年,加重半年。 体检:喉粘膜充血,会厌肿胀,上举差,喉室及双声带窥视欠清。              蚂蚁发言:考虑喉癌(声门型)?双侧颈鞘周围淋巴结转移? 徐飞发言:有无呛水?根据病史要考虑球麻痹,脑干应检查 弯三角发言:考虑喉结核,应检查其它部位有无结核 卜一发言:喉腔右侧壁弥漫性软组织增厚,喉腔变窄。支持:喉癌(声门型)!另:双侧颈部多枚淋巴结肿大! 结果: 支纤镜检查:会厌板肿胀,右会厌咽侧壁肿胀,右杓状小结见结节样肿物,喉室肿胀,双声带肿胀、充血,左声带见菜花样肿物,触及易出血,取活检。 病理诊断:高分化鳞状细胞癌。 免疫组化:ck(h)(+++)、pcna(++)、p53(++)、ck(l)(-)。 原贴地址:http://www.radinet.com.cn/forum_view.asp?forum_id=4&view_id=34703 |