医影在线

搜索

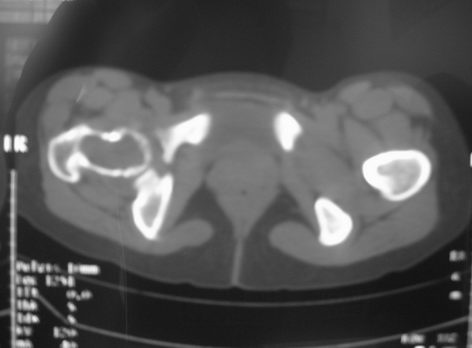
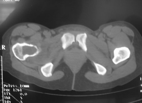
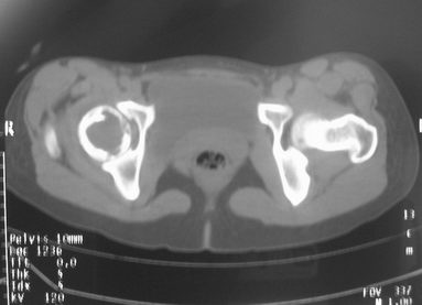
右股骨骨巨细胞瘤

2008-6-11 06:40| 发布者: yy杨洋| 查看: 1706| 评论: 0

女,31岁,右髋部疼痛半年,加剧两天不能行走



















hhcckk发言:右股骨颈囊状骨质破坏,骨皮质变薄,周围硬化边不明显
我与楼主考虑的不太一样,我考虑骨巨的可能性更大
骨囊肿很少在20岁以后发生
动脉瘤样骨囊肿周围硬化边较明显

杀毒软件发言:囊状透亮区,纵行发展,边轻度硬化,碎片陷落征。
支持考虑骨囊肿可能。

dyqct发言:支持右股骨头、颈骨巨细胞瘤可能性大(跨越骺线).

结果:
电话追踪:家属告知病人已手术,术后病理骨巨细胞瘤。

拾荒者分析:该病例囊肿透亮度较高,骨膨胀轻微,还是要首先考虑骨囊肿。至于与骨细胞瘤的鉴别,影像鉴别困难。我想,发病年龄及临床症状可能是主要参考点。

原贴地址
x3720:http://www.radinet.com.cn/forum_view.asp?forum_id=9&view_id=36604
ct12413:http://www.radinet.com.cn/forum_view.asp?forum_id=4&view_id=36616

鲜花

握手

雷人

路过

鸡蛋
返回顶部