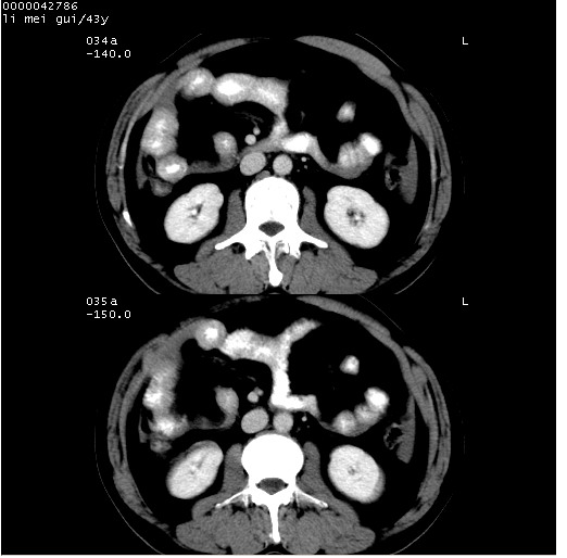
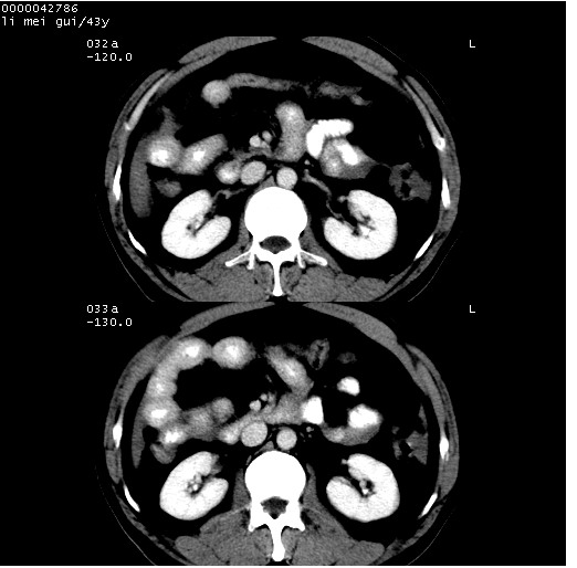
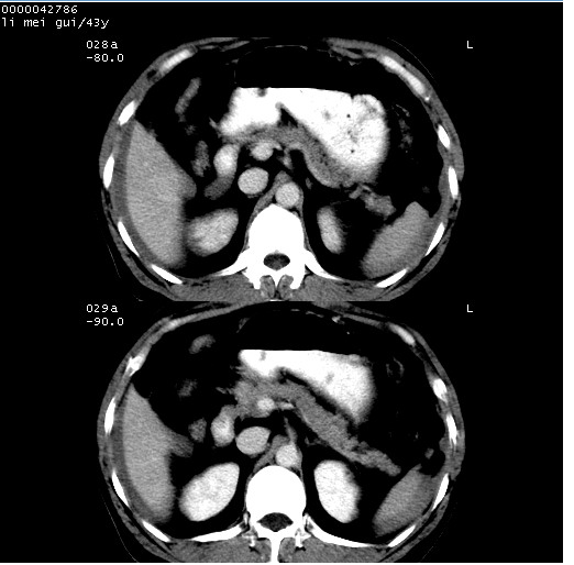
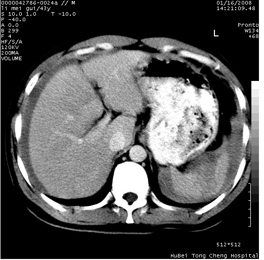
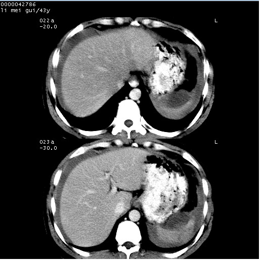
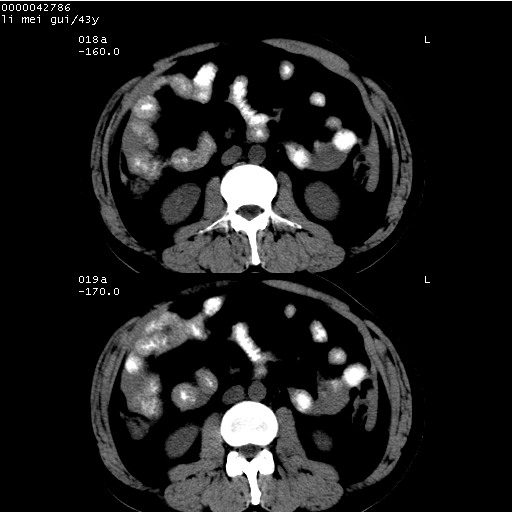
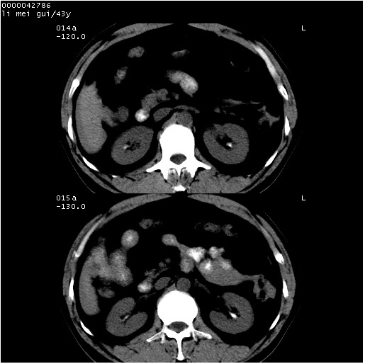
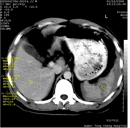
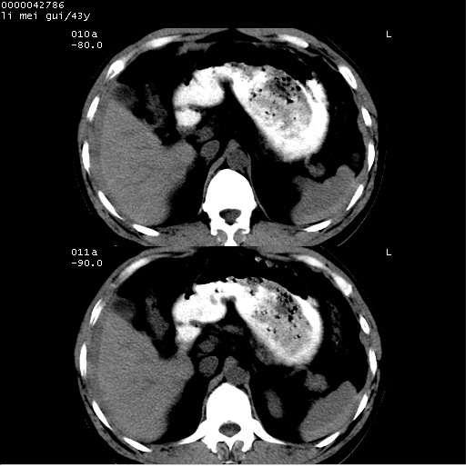
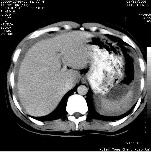
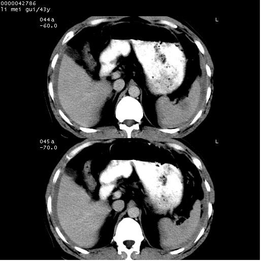
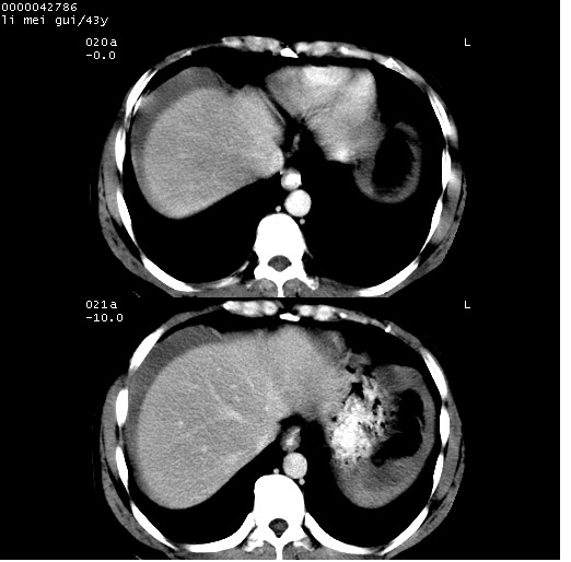
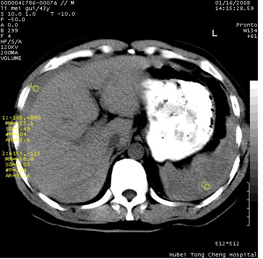
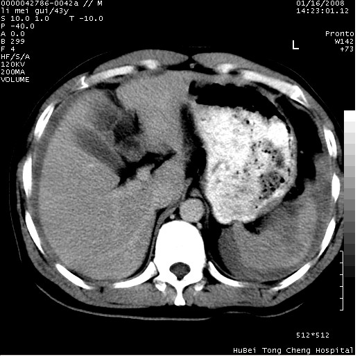
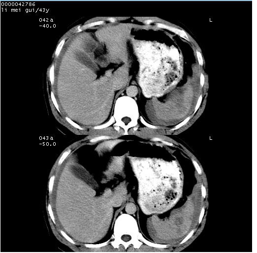
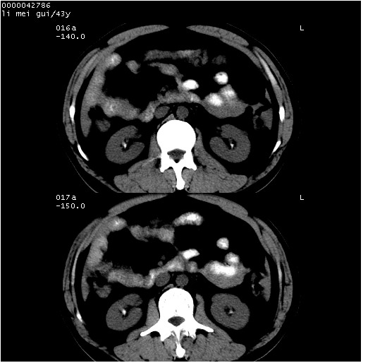
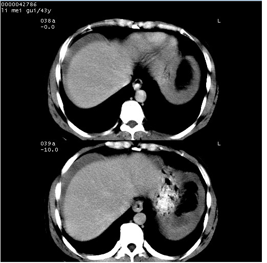
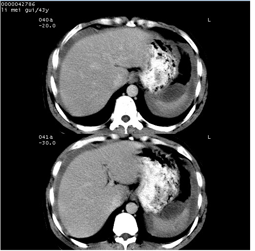
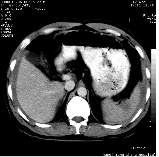
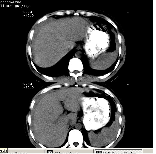
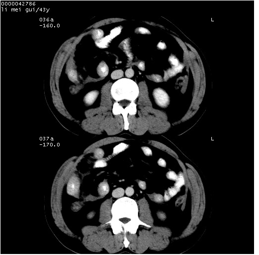
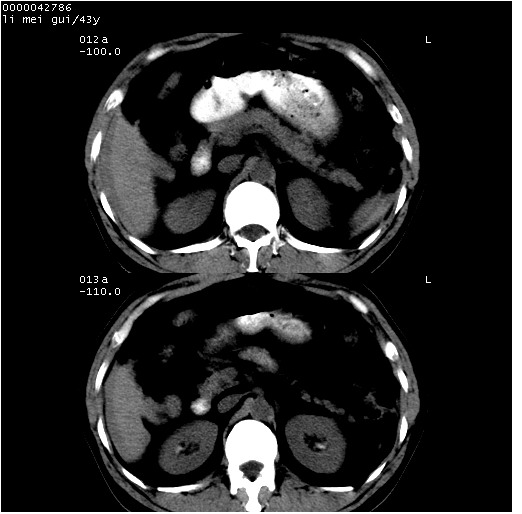
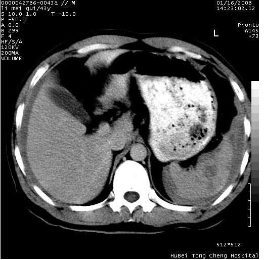
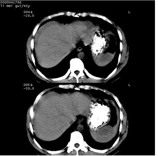
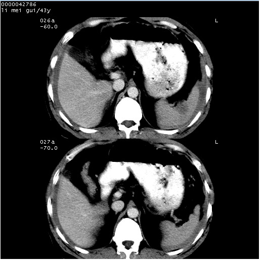
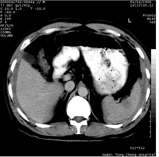
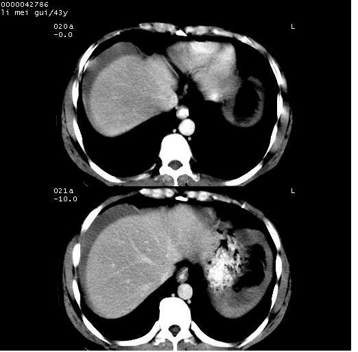
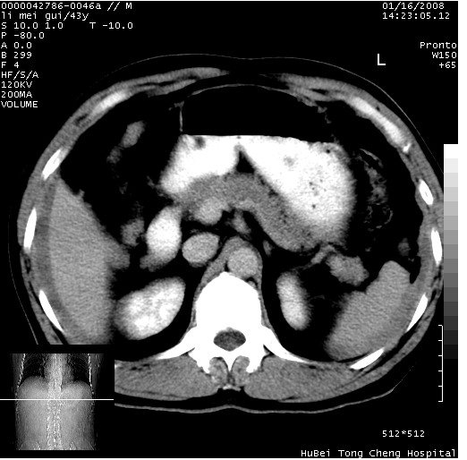
| 患者,男,43岁。突发腹痛2小时,面色苍白,难以平卧。自述近期无明确外伤史,为摩托车驾驶员。 腹部b超检查:脾脏中上极回声异常,肿瘤待排。 临床诊断:腹痛原因待查。 上中腹部ct轴位平扫+增强扫描(层厚10mm,螺距1.0,重建间隔10mm),图像如下: ![]() ![]() ![]() ![]() ![]() ![]() ![]() ![]() ![]() ![]() ![]() ![]() ![]() ![]() ![]() ![]() ![]() ![]() ![]() ![]() ![]() ![]() ![]() ![]() ![]() ![]() ![]() ![]() ![]() ![]() ![]() ![]() ![]() ![]() ![]() zrs发言:支持脾破裂 wwp发言:支持脾破裂并腹水。 xulianj发言:脾脏肿瘤破裂可能性大 zsl6918发言:不像肿瘤出血,考虑还是与外伤后引起的慢性出血有关 zzyy发言:平扫见肝周及脾周积液,脾内密度不均。脾内肿瘤较少见。还是外伤性脾破裂。 沈丘东方医院发言:脾门区一个不均匀强化病灶与其周液体相连多考虑脾占位破裂出血 yixianman001011发言:脾破裂并腹水是可以肯定的,具体原因多以肿瘤性破裂出血,脾脏淋巴瘤可能性大. 结果: 术后,经详细询问患者,其仔细回忆:一月前骑摩托时左侧腰部与别人有“轻微”触碰,因责任在自已,当时又无明显不适,未引起注意。 临床术后诊断:脾破裂并失血性休克(1.外伤性迟发性脾破裂。2.脾脏肿瘤破裂?) 术后标本病检:脾破裂并出血,未见明显肿瘤成份。 原贴地址:http://www.radinet.com.cn/forum_view.asp?forum_id=4&view_id=34070 |