医影在线

搜索
医影在线 门户 影像图库 CT病例 咽部 查看内容

鼻咽癌12

2004-2-29 06:19| 发布者: 翁志蓬| 查看: 5436| 评论: 0

男性,48岁。吸涕带血2月余。






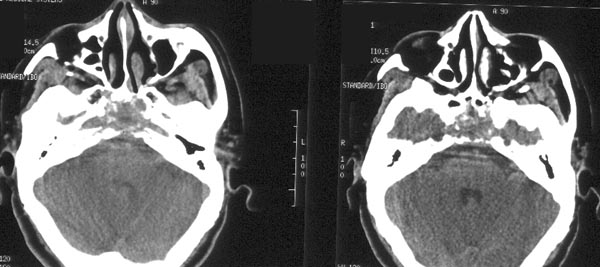
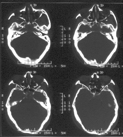
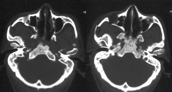
ct平扫:鼻咽腔明显狭窄,鼻咽顶壁、顶后壁、后壁、双侧壁增厚,右侧甚,右侧鼻咽旁间隙、颈动脉间隙见软组织肿物占据,肿物向前达后鼻孔,向下达右侧口咽,肿物向中颅窝侵犯致广泛颅底骨质破坏:包括枕骨斜坡、枕大孔、蝶窦、鞍底、双侧蝶骨大翼、双侧岩尖、双侧翼板。蝶窦、蝶鞍为软组织肿物占据,左侧海绵窦稍增厚。左侧鼻咽旁间隙、颈动脉间隙未见明显异常。
ct诊断:考虑鼻咽癌,并口咽受侵犯、颅底骨质破坏。

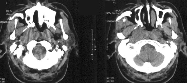
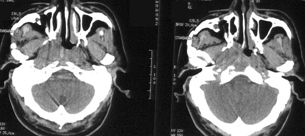
患者放疗后半年ct复查



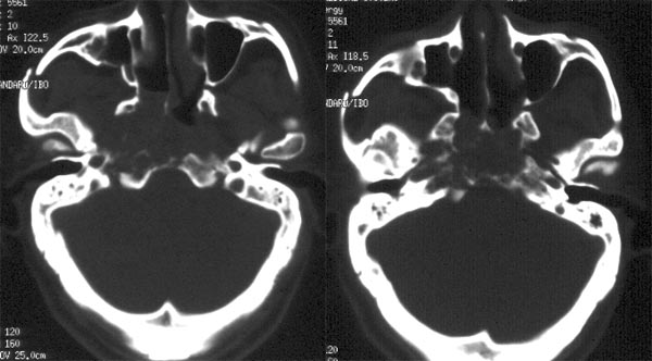
ct平扫:鼻咽右侧壁增厚,右侧咽隐窝消失,右侧咽旁间隙变窄,但病灶较原片明显缩小。原片所见鼻咽顶壁、顶后壁、后壁增厚,现已基本恢复正常,原片见枕骨斜坡、蝶骨基底部骨质破坏,现亦已修复,为高密度骨质充填。颈深筋膜各间隙未见肿大淋巴结。
ct诊断:鼻咽癌放疗后,肿物较前片明显缩小,颅底骨质破坏基本修复。

鲜花

握手

雷人

路过

鸡蛋
返回顶部