手机应用
微信
微博
QQ群
普通登陆
QQ登录
找回密码
注册
登录
好友
帖子
收藏
道具
勋章
任务
搜索
搜索
文章
帖子
用户
影像医生
也能
网上问诊
了
首页
社区
BBS
新闻
读片会
影像图库
锐滴达
医影在线
›
门户
›
影像图库
›
CT病例
›
中枢神经系统
›
查看内容
复合性脑损伤06
2004-5-8 19:44
|
发布者:
翁志蓬
|
查看:
5263
|
评论: 0
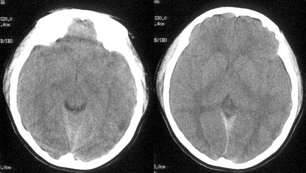
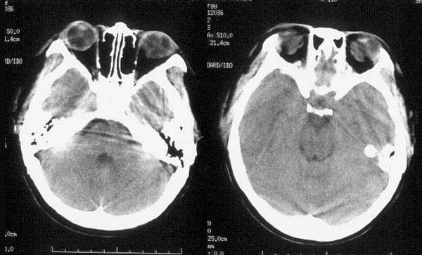
女性,18岁。车祸致伤头部3小时。
ct平扫:左颞骨内板下见细线形高密度出血影,左侧侧脑室受压变窄,中线结构向右侧移位。大脑镰、小脑幕及左枕部脑沟密度增高。鞍上池、环池均显示不清。
ct诊断:1、左颞硬膜下血肿。
2、蛛网膜下腔出血。
3、脑肿胀。
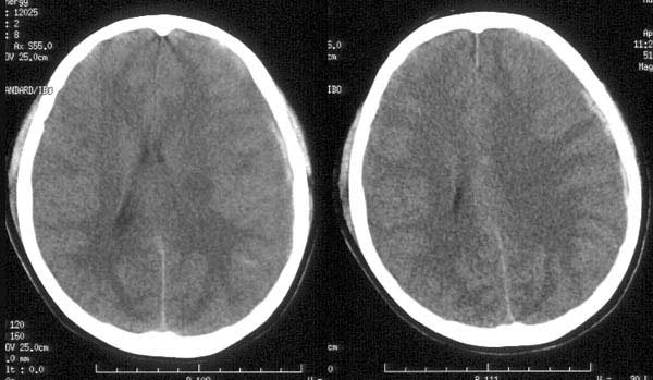
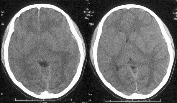
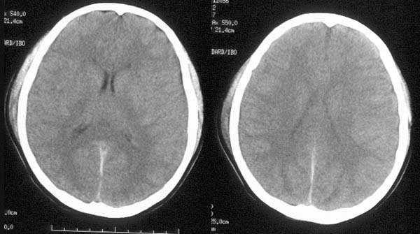
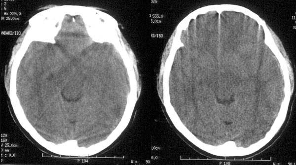
患者入院后予脱水治疗,并于10小时后行ct复查:
ct诊断:1、左颞硬膜下血肿已吸收消失。
2、蛛网膜下腔出血量较前增多。
3、脑肿胀程度较前明显改善。
鲜花
握手
雷人
路过
鸡蛋
收藏
邀请
相关分类
中枢神经系统
眼、耳、鼻、副鼻窦
颌面、颈部
咽部
肺及下呼吸道
纵隔、胸膜、胸壁
食管、胃、肠道
心脏、大血管
肝、脾、胰腺
胆道系统
男性生殖系统
女性生殖系统
泌尿系统
骨、关节、肌肉
内分泌系统
腹腔、腹壁
返回顶部