医影在线

搜索

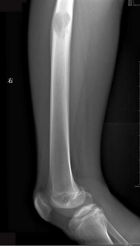
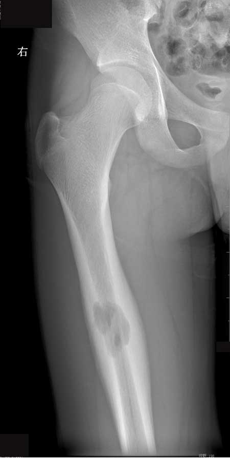
右股骨干嗜酸性肉芽肿

2011-1-12 23:23| 发布者: 翁志蓬| 查看: 1582| 评论: 0|原作者: wufeisheng

M23岁,右侧大腿疼痛两月余,无其他~~~



【zxl51642】良性肿瘤样病变,考虑Langerhands组织细胞增生症(嗜酸性肉芽肿)。
鉴别:低毒力感染,肿瘤不考虑.........

【ZHANGZHONGSHOU】嗜酸性肉芽肿可能性大,囊状骨质破坏,累及骨皮质,骨膜增生、骨皮质增厚,连续、无破坏,范围常于骨破坏范围,患者青年均支持嗜酸性肉芽肿可能性大。

【黑白光影】好发的年龄,孤立而界限分明的溶骨性缺损,偏于一侧的骨膜反应,考虑嗜酸性肉芽肿可能性大。

【wudaodong2008 】骨髓腔反应范围较大界限模糊、皮质增厚广泛 骨膜反应明显但层次不清-----符合炎性改变;瘤子不考虑。

病理报告:(右股骨中上段肿物)符合嗜酸性肉芽肿

【wudaodong2008 】学习了------长管状骨的嗜酸性肉芽肿的发病年龄、部位和X线表现与孤立性骨囊肿颇多相似之处。鉴别时应注意:1、骨囊肿为膨胀性破坏,一般比肉芽明显且范围较大,如无病理性骨折,局部很少有骨膜增生;2、骨囊肿具有比肉芽肿更为明显的硬化边缘,其周围较少炎性反应;3、骨囊肿均单发而肉芽肿则可多发,在其它骨骼亦可同时有病灶,尤其是头颅或/和躯干骨;4、血象检查,嗜酸性白细胞增高,有助于诊断。
1

鲜花

握手

雷人

路过

鸡蛋

刚表态过的朋友 (1 人)

返回顶部