医影在线

搜索

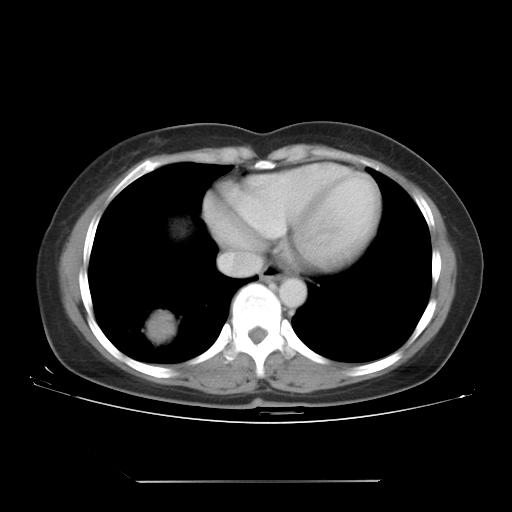
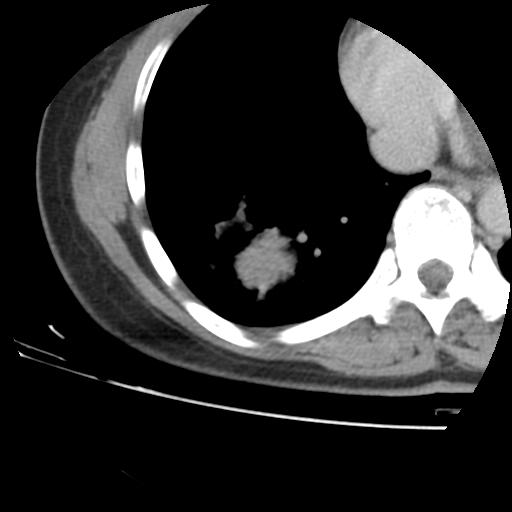
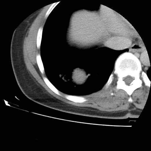
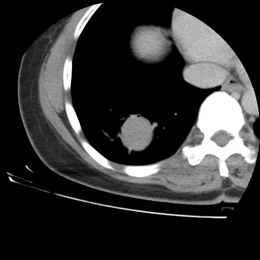
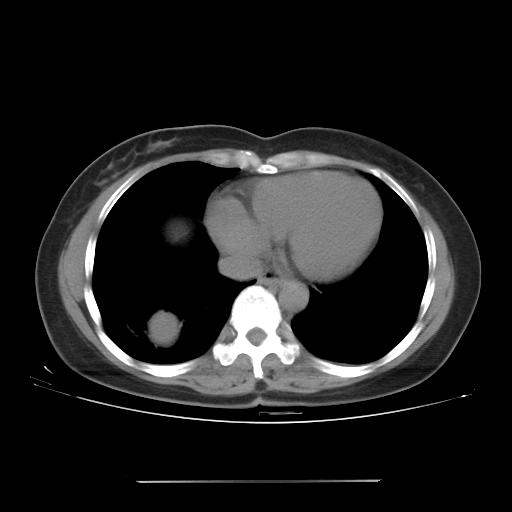
右肺下叶类癌

2011-2-12 18:04| 发布者: 翁志蓬| 查看: 1341| 评论: 0|原作者: bobsky

女 46岁,咳嗽咳血10月

















【linyiming】右肺下叶见类圆形软组织影,边缘欠规整,略分叶状。考虑炎症假瘤可能?
未排除周围型肺癌。建议CT增强。

【zjm赵建明】先消炎,再复查。感觉病灶不像肺癌。

【心路寻觅】右肺下叶良性占位伴阻塞性肺炎,抗炎治疗后复查,不像单纯的炎性假瘤。

【刚起步】只有想不到的,没有长不到的。实性结节,强化明显,病人咳血,肺癌不能除外。

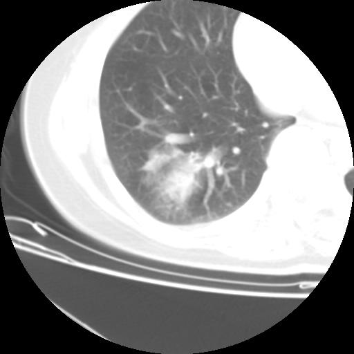
【aosangwa】肺癌的主要特征是:毛刺征、分叶征及胸膜凹陷征,此病例位于右肺下叶距胸膜很近,但没有胸膜凹陷征,其周围像示渗出性病变,病灶在两窗上没有大小没有发生大小改变。
考虑其良性肿瘤,炎性假瘤可能性大,其主要鉴别是:结核球、周围型肺癌、血管瘤

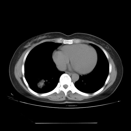
病理诊断类癌(周围型)。

鲜花

握手

雷人

路过

鸡蛋
返回顶部