手机应用
微信
微博
QQ群
普通登陆
QQ登录
找回密码
注册
登录
好友
帖子
收藏
道具
勋章
任务
搜索
搜索
文章
帖子
用户
影像医生
也能
网上问诊
了
首页
社区
BBS
新闻
读片会
影像图库
锐滴达
医影在线
›
门户
›
影像图库
›
CT病例
›
肝、脾、胰腺
›
查看内容
肝胆管细胞癌
2011-2-24 20:50
|
发布者:
翁志蓬
|
查看:
2088
|
评论: 0
|
原作者: sdmuzi
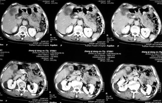
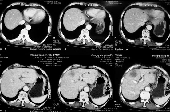
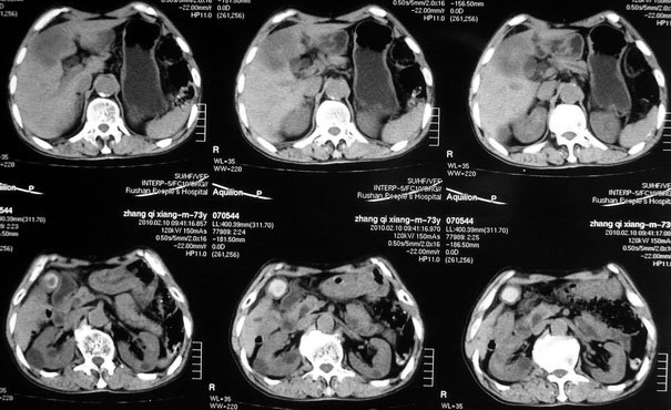
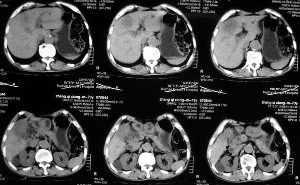
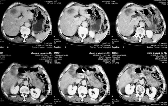
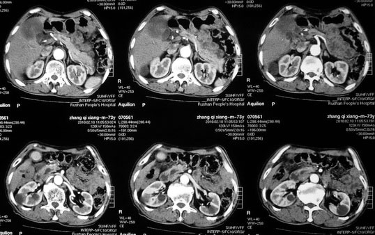
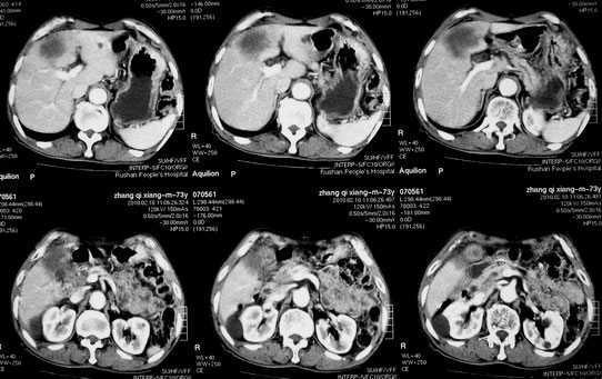
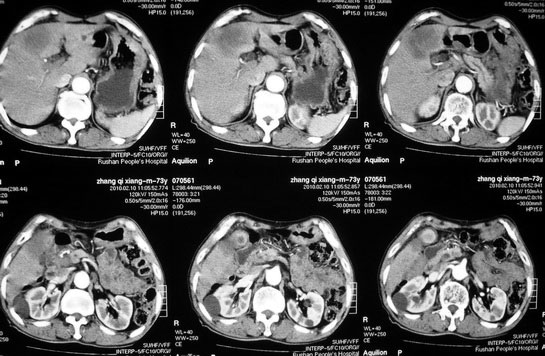
患者AFP正常,无肝病病史。CA199 1000ng/ml,CEA偏高。血象WBC正常,N偏高。
这个病人是有病理的,做了肝活检,初八出结果。
请大家再看看,给个意见,谢谢。
会员诊断:
化脓性胆囊炎累及肝脏;胆管细胞癌;肝转移瘤
活检病理
:是
胆管细胞癌
。
这个病人开始就是主要鉴别的肝脓肿和胆管细胞癌。可是增强后环征也不明显,占位内造影也非常不明显。这种情况怎么判断?谢谢大家。
【拾荒者】
病灶强化幅度较轻,低密度坏死区内见无定形高密度影,是其特点。
鲜花
握手
雷人
路过
鸡蛋
收藏
邀请
相关分类
中枢神经系统
眼、耳、鼻、副鼻窦
颌面、颈部
咽部
肺及下呼吸道
纵隔、胸膜、胸壁
食管、胃、肠道
心脏、大血管
肝、脾、胰腺
胆道系统
男性生殖系统
女性生殖系统
泌尿系统
骨、关节、肌肉
内分泌系统
腹腔、腹壁
返回顶部