医影在线

搜索

肝癌合并肝脓肿

2011-2-24 21:17| 发布者: 翁志蓬| 查看: 2489| 评论: 0|原作者: sdmuzi

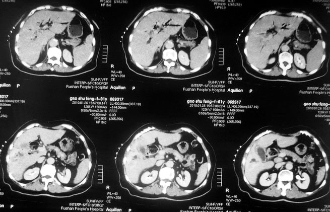
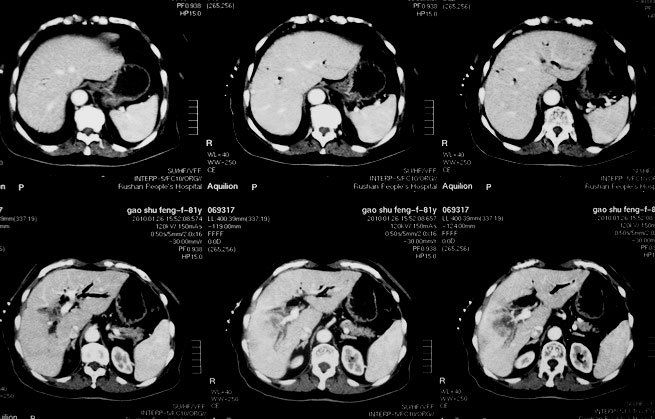
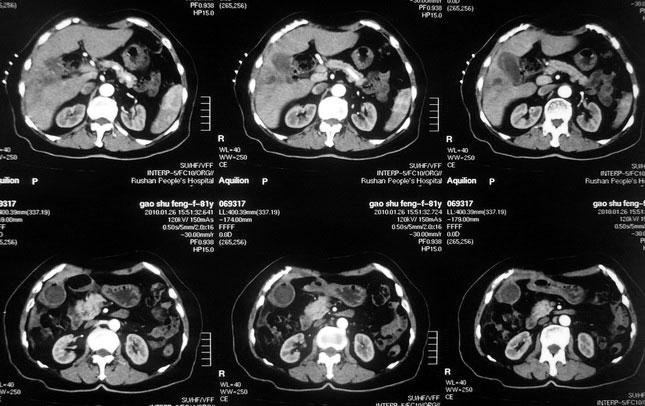
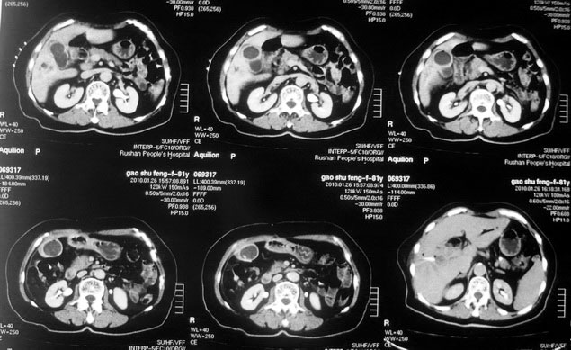
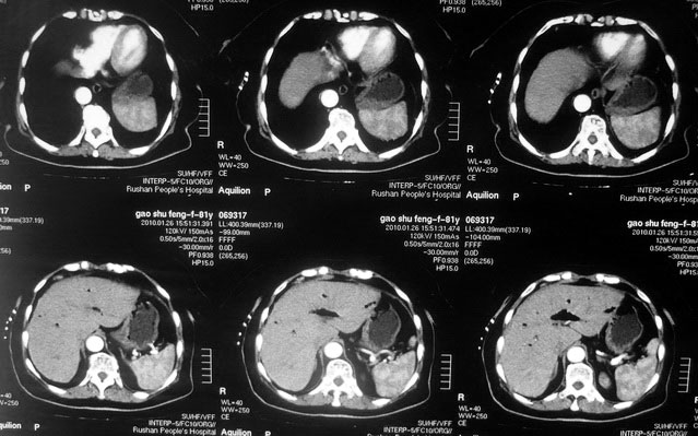
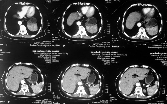
女,80岁既往有胆系手术史。近2月出现食欲不振,近20天出现畏寒发热,体重约下降10kg,体温一般在38℃左右。血常规wbc正常,中性比例88%,cea 10.3,afp、ca199均正常。做过一次肝穿,抽出约3ml仿佛脓性液体。这是她的增强ct扫描,请大家帮帮忙。另外想问问肝脓肿和胆管细胞癌的ct表现有什么区别。谢谢了。















【湘江一滴】化脓性胆囊炎及胆管炎,肝内胆管积气、积液、扩张;胆囊壁增厚、强化;胆周积液。未见肝内占位征象。

【shuiyuan】化脓性胆囊炎及胆管炎,肝内胆管积气、积液、扩张;胆囊壁增厚、强化;胆周积液.
肝脓肿动脉期呈明显环形强化或蜂窝状强化,胆管细胞癌动脉期强化不明显,且伴肝内胆管扩张。

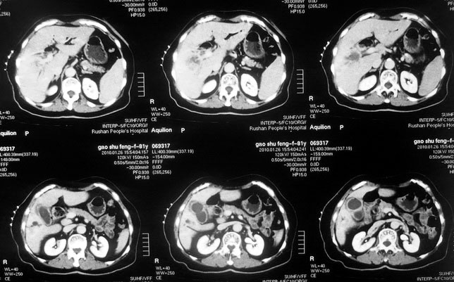
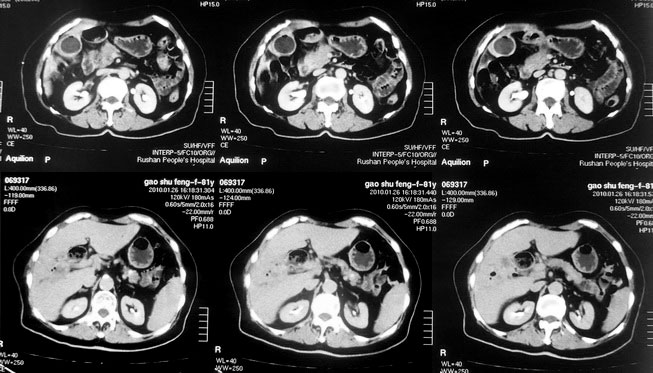
【zenxisengming 】肝内胆管扩张积气,胆囊比环形增厚,胆囊周围渗出,未见占位性病变,应该是胆道化脓性感染

【sunbin】肝内见多个气体密度影伴气液面,胆囊壁增厚,胆囊周围低密度环绕,未见强化,支持化脓性胆管炎、胆囊炎。

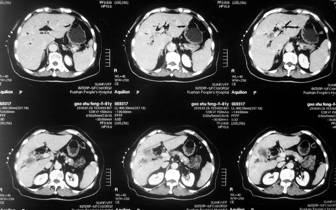
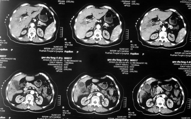
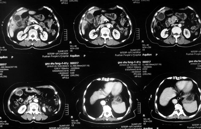
最近复查ct,做了第二次穿刺抽脓,顺便做了涂片病理活检,结果找到恶性肿瘤细胞,诊断肝癌合并肝脓肿。看来大家都走眼了啊。

【ghp3522】这是本人第二次遇到的hcc+合并脓肿;第一次病例也是考虑肝脓肿,但在例行穿脓引流术病理检查中查到癌细胞。简单肝脓肿也有潜伏。

【影像之路】hcc+合并脓肿少见 诊断难道较大 而且影像学表现同时符合两种病变的表现也少见

鲜花

握手

雷人

路过

鸡蛋
返回顶部