手机应用
微信
微博
QQ群
普通登陆
QQ登录
找回密码
注册
登录
好友
帖子
收藏
道具
勋章
任务
搜索
搜索
文章
帖子
用户
影像医生
也能
网上问诊
了
首页
社区
BBS
新闻
读片会
影像图库
锐滴达
医影在线
›
门户
›
影像图库
›
CT病例
›
肝、脾、胰腺
›
查看内容
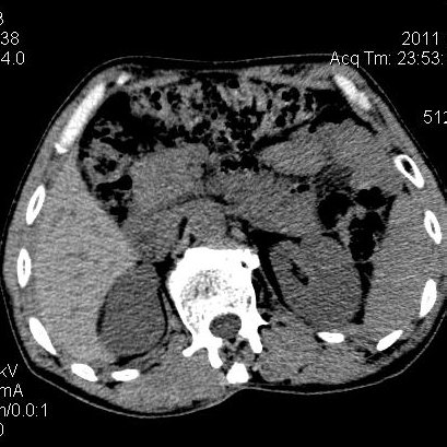
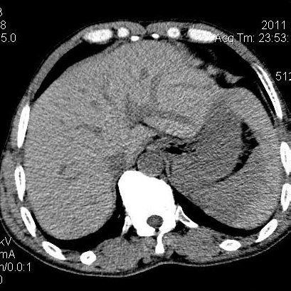
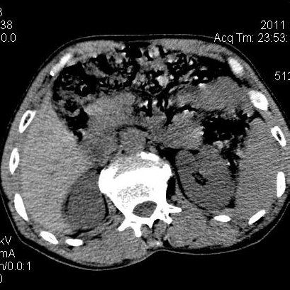
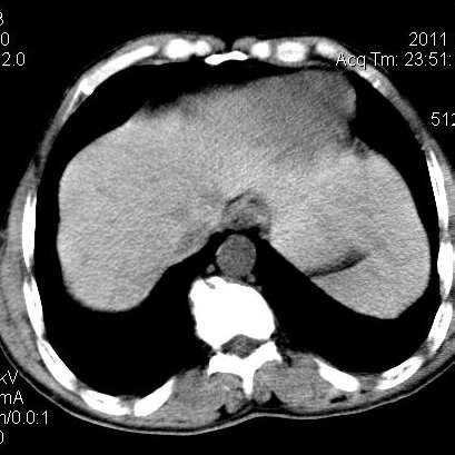
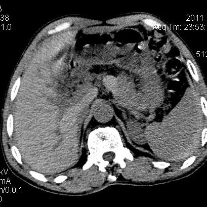
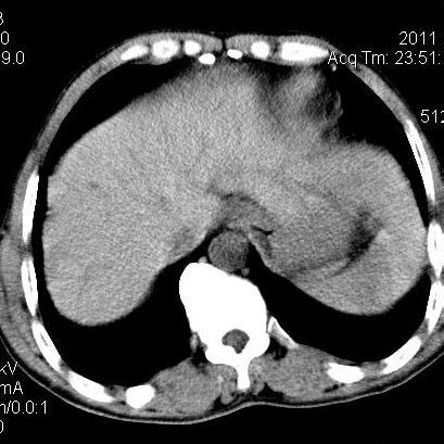
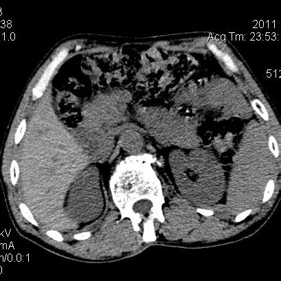
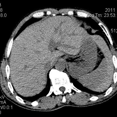
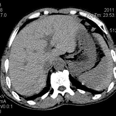
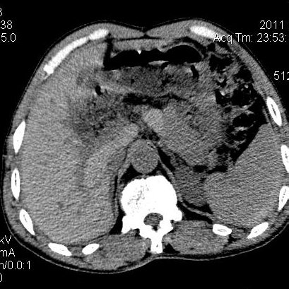
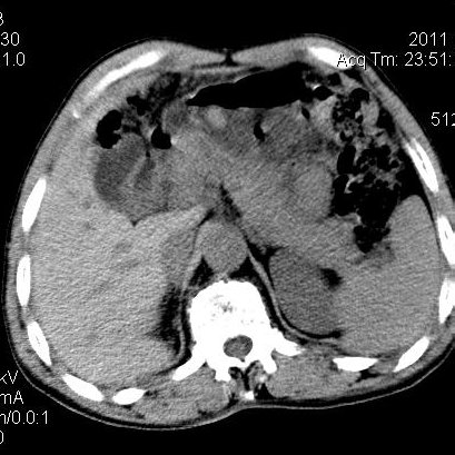
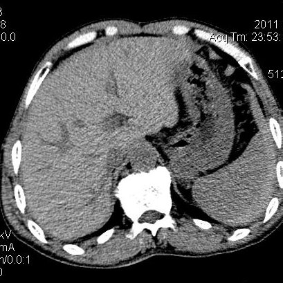
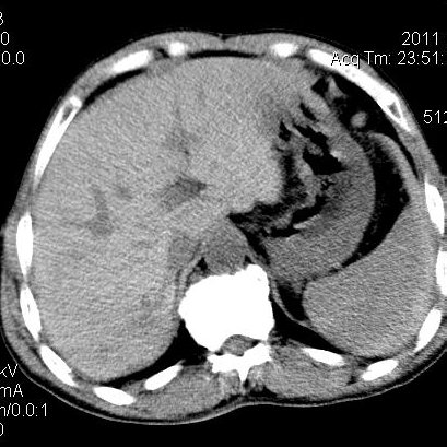
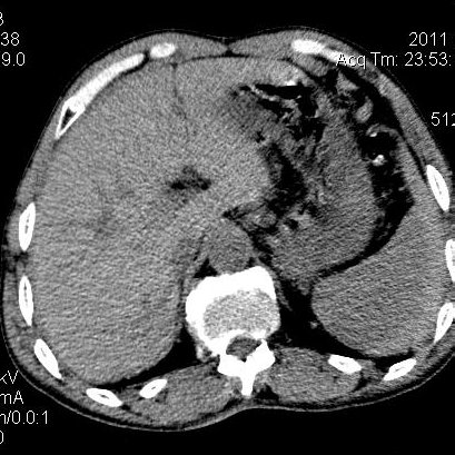
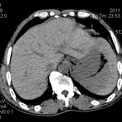
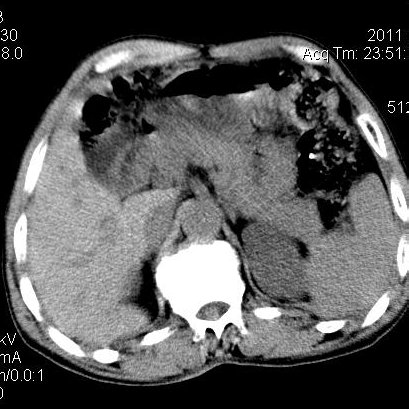
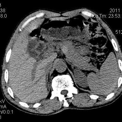
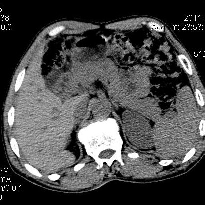
肝左叶发育异常
2012-6-4 12:46
|
发布者:
jiajie
|
查看:
1334
|
评论: 0
|
原作者: smjin
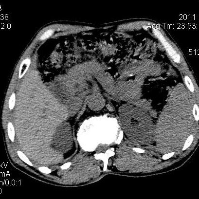
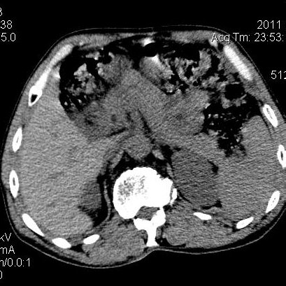
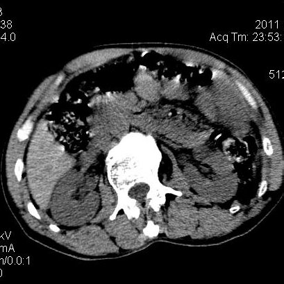
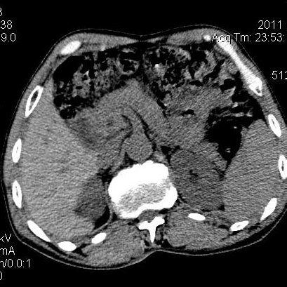
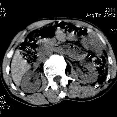
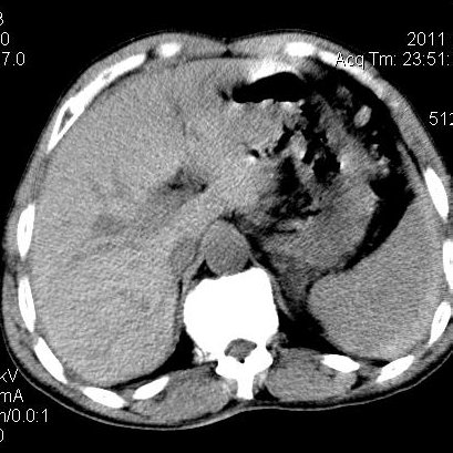
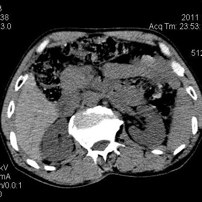
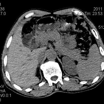
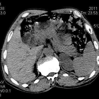
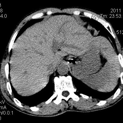
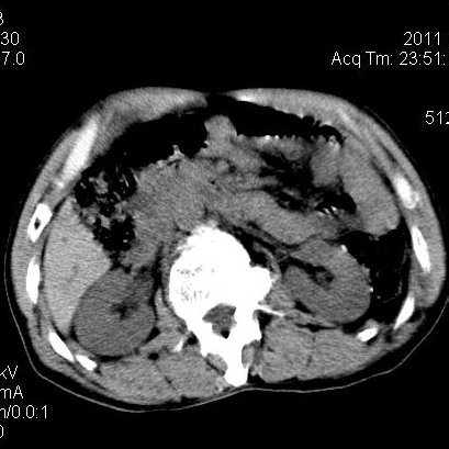
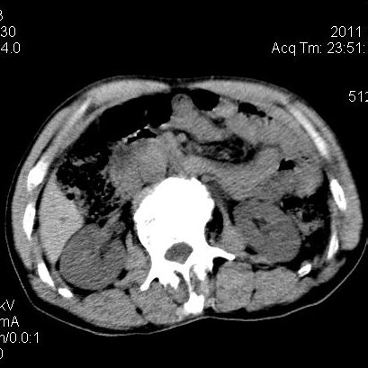
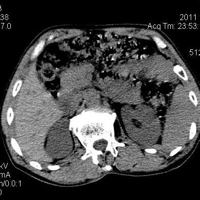
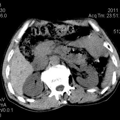
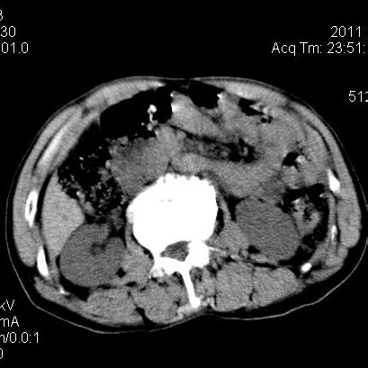
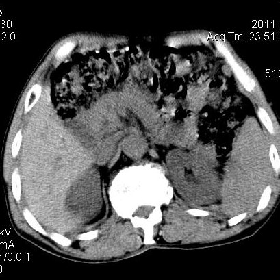
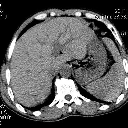
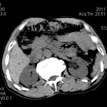
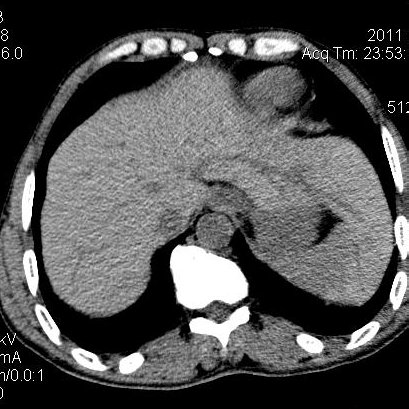
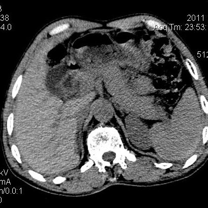
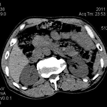
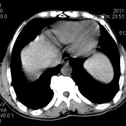
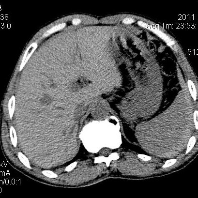
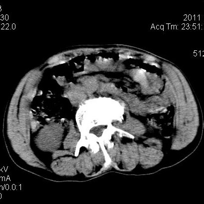
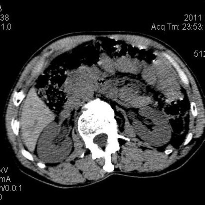
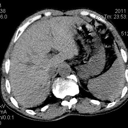
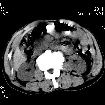
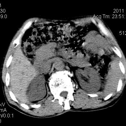
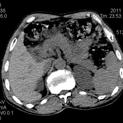
男性,55岁,骑摩托车摔倒后入院,自述右上腹疼痛
[backcolor=#FF0000]第一次诊断的时候也是这么肯定,可是床旁超声检查并没有发现明显异常,而且患者的一般症状都良好。还好临床只是保守治疗,没有立即手术,第二次复查的时候没有一点变化,又做了MRI检查,没有血肿,
这是一例肝左叶发育异常的,很个性吧~[/backcolor]
鲜花
握手
雷人
路过
鸡蛋
收藏
邀请
相关分类
中枢神经系统
眼、耳、鼻、副鼻窦
颌面、颈部
咽部
肺及下呼吸道
纵隔、胸膜、胸壁
食管、胃、肠道
心脏、大血管
肝、脾、胰腺
胆道系统
男性生殖系统
女性生殖系统
泌尿系统
骨、关节、肌肉
内分泌系统
腹腔、腹壁
返回顶部