手机应用
微信
微博
QQ群
普通登陆
QQ登录
找回密码
注册
登录
好友
帖子
收藏
道具
勋章
任务
搜索
搜索
文章
帖子
用户
影像医生
也能
网上问诊
了
首页
社区
BBS
新闻
读片会
影像图库
锐滴达
医影在线
›
门户
›
影像图库
›
MRI病例
›
中枢神经系统
›
查看内容
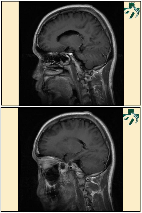
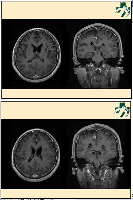
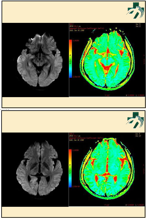
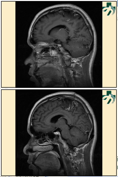
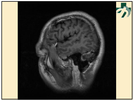
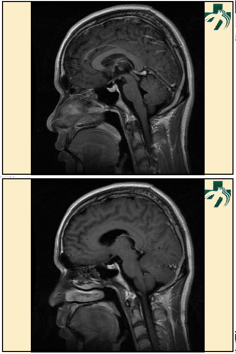
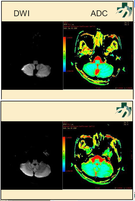
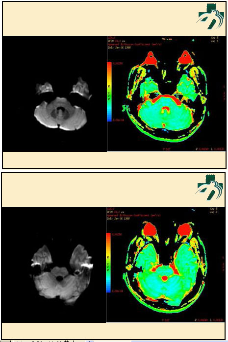
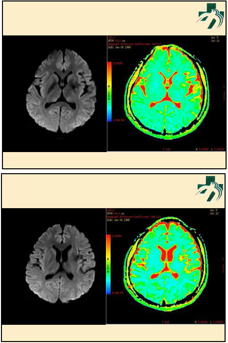
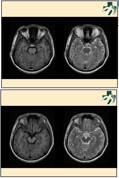
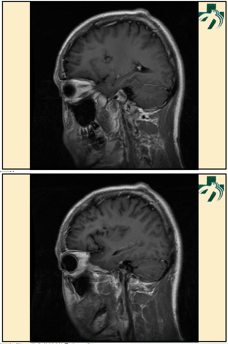
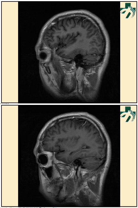
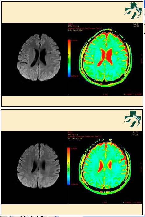
奴卡氏菌感染
2012-6-25 18:10
|
发布者:
jiajie
|
查看:
892
|
评论: 0
|
原作者: 翁志蓬
第九期三博
读片会
病例之四
北京协和医院 提供
男性,22岁。自觉虫咬后皮疹、肢体麻木4月
鲜花
握手
雷人
路过
鸡蛋
收藏
邀请
相关分类
中枢神经系统
眼、耳、鼻、副鼻窦
颌面、颈部
咽部
肺及下呼吸道
纵隔、胸膜、胸壁
食管、胃、肠道
心脏、大血管
肝、脾、胰腺
胆道系统
男性生殖系统
女性生殖系统
泌尿系统
骨、关节、肌肉
内分泌系统
腹腔、腹壁
返回顶部