手机应用
微信
微博
QQ群
普通登陆
QQ登录
找回密码
注册
登录
好友
帖子
收藏
道具
勋章
任务
搜索
搜索
文章
帖子
用户
影像医生
也能
网上问诊
了
首页
社区
BBS
新闻
读片会
影像图库
锐滴达
医影在线
›
门户
›
影像图库
›
MRI病例
›
颌面、颈部
›
查看内容
神经鞘瘤
2012-7-12 13:40
|
发布者:
jiajie
|
查看:
2145
|
评论: 0
|
原作者: nicholaswang
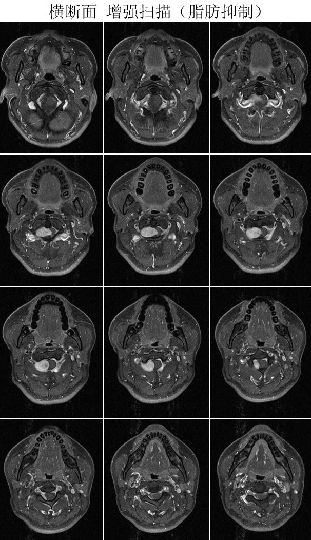
本病例来自广东同江医院
病史:女,27岁,洗头按摩时扭颈导致昏迷,检查发现颈椎占位
手术病理:
神经鞘瘤
鲜花
握手
雷人
路过
鸡蛋
收藏
邀请
上一篇:
肠源性囊肿
下一篇:
甲状腺癌并枢椎转移
相关分类
中枢神经系统
眼、耳、鼻、副鼻窦
颌面、颈部
咽部
肺及下呼吸道
纵隔、胸膜、胸壁
食管、胃、肠道
心脏、大血管
肝、脾、胰腺
胆道系统
男性生殖系统
女性生殖系统
泌尿系统
骨、关节、肌肉
内分泌系统
腹腔、腹壁
返回顶部